Arvid Carlsson and the History of Dopamine in PD
HOME
Arvid Carlsson began his work on dopamine is the 1950s, when he administered reserpine to rabbits and found that they became slow and nearly paralyzed.  He theorized that these motor problems arose from a chemical imbalance int he striatum and wondered whether  the rabbits' condtion could be correlated witha  depletion of dopamine.  Carlsson restored the motor losses when he injected dopa into the rabbits, provign his theory.  He also developed a highly effective assay to measure dopamine levels in tissue with high sensitivity. 

In 1958, Carlsson theorized his results at  the First International Symposium on Catecholamine Metabolism at the National Institutes of Health.  It was here that he suggested that a deficiency in dopamine could be the cause of Parkinson's Disease.  Leading authorities at the symposium, scoffed at his idea, but in the end it was he who was right all along.

Oleh Hornykiewicz obtained human autopsied brains of patients with advanced Parkinson's Disease for analysis and found that they were almost totally depleted of all dopamine in the striatum.  With Walter Brinkmeyer, he found that dopamine was also depleted int he substantia nigra.  In 1961, the two scientists attempted to treat a patient with advanced Parkinson's Disease by injecting dopa.  They found a "complete abolition or substantial reduction of akinesia."  The effects of the dopa, however, diminished after 24 hours.

Andre Barbeau was the first scientist to administer the drug orally.  Unfortuantely however, dopa was too expensive to continue extensive research, and patients were experiencing nausea, vomiting, and hypotension.

George Cotzias had an influential report published in the prestigious
New England Journal of Medicine. Dr. Cotzias was successful in administerin a pure levodopa form of dopa that was administered orally.  He also used a gradual dose routine for the first time, increasing dosage to an average of  5800 mg L-DOPA, rather than the 50 and 100mg doses that previous doctors were using. 

Carlsson, while continuing his research, disocvered that it was the dopamine producing cells in the basal ganglia that were degenerating during Parkinson's Disease.  In addition to his studies of Parkinson's Disease, he has also discovered the mode of action of the drugs that treat schizophrenia, the antipsychotics.  He has also contributed to the development of the serotonin reuptake inhibitors, a class of anitdepressive drugs.

Carlsson is still continuing his reasearch, and in 2000 he received a nobel prize for his work on dopamine.  Born in 1923 in Sweden he has continued to do his research at Goteborg University, and has received numerous medals and awards for his accomplishments in the development of our ideas of how dopamine works.
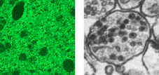
Left picture shows rich presence of dopamine-containing nerve endings  (green dots) in the basal ganglia of a rat
brain, visualized by fluorescence microscopy. To the right, a close-up of
one nerve ending as seen in the electron microscope. The black dots in the
vesicles represent stored dopamine.
Hosted by www.Geocities.ws

1