Casos Interesantes..

Pre escolar con tumor del mediastino

Hospital
Dr. "Domingo Luciani "

  • Se presenta un caso de tumor del mediastino en paciente preescolar de 5 años, estudios de diagnóstico, radiología, tomografía, resonancia magnética, Técnica quirúrgica, hallazgos y comentarios. Julio 12, 2002

 | Dr. Rubén Henríquez A. | Dr. Jose M. Escobar | Dr. Jaime González | Dra. |

| Paciente | Radiología | Tomografia | Resonancia | Intervención | Timo resecado | Comentarios |

El Paciente
  • Pre Escolar, masculino, de 5 años, cuya madre refiere, presenta desde junio del 2000, síntomas de infección respiratoria en varias oportunidades hasta neumonía, estudios radiológicos simples del tórax demostraron una masa en mediastino anterior y superior de 8 cm. de diámetro que ameritó estudios de tomografia del tórax en el que se observó tumor en mediastino anterior y superior interpretada como glándula timica hiperplásica o posible linfoma, por continuar presentando episodios febriles nocturnos con sudoración profusa y en control ambulatorio durante 2 años, por el departamento de pediatría y el servicio de hemato-oncologia, exámenes hematológicos e inmunologicos para descartar anormalidades como Linfoma etc. le fueron realizados siendo normales, controles sucesivos radiológicos y tomográficos y de resonancia magnética fueron efectuados.
  • Actualmente persistía con tos nocturna, ganchos febriles esporádicos acompañados de sudoración, episodios de disfonía y ronquera al hablar y dificultad para emitir voz fuerte o gritar, estudios recientes de radiología y tomografia torácica demuestran estenosis parcial distal de la traquea torácica, motivo por el que se planteó la exéresis de la lesión mediastinal y su estudio histopatológico.

Complementarios

  • 14 - 06 - 2002 : Eco cardiograma dopler, contractibilidad global y regional conservada, Cavidades y paredes normales, función diastólica normal, válvulas normales, no hay masa intra-cavitaria pericardio normal.

  •  
  • 30 - 01 - 2002 : Inmunologicos:Alfa feto proteinas = 1.24 mg/ml Val. Normal 0 - 10; H.C.G Beta Cuántica  = 15.81; C.E.A = 2.18 mg/ml. va 0.00 a 3.40; C.A. 19-9 = 3.62 UI/ML , va 0 a 39; C.A-125 = 26.94 UI/ml, Val.N 0 35; C.A.- 15-3 = 29.94 UI/ml, Val. Normal 0 a 25.

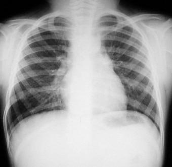
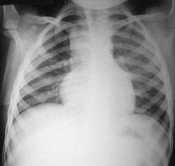
Radiografía del tórax

Rx. Tórax PA. Radio transparencia conservada en ambos campos pulmonares, sin infiltrados parenquimatosos, hileo y patrón de flujo pulmonar normal, senos costo y cardio-diafragmaticos libres, silueta cardiaca posición central normal, puede notarse el ensanchamiento del mediastino, por loe mas prominente en el lado derecho aspecto lobulado bien limitado, el esqueleto y partes blandas sin alteraciones.
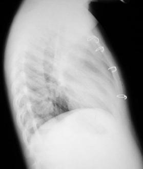
Rx. Tórax LI. Radiopacidad peritraqueal redondeada y lobulada prominente en mediastino anterior y superior que incrementa el contraste de radiotrasperencia traqueal, observándose estenosis en su porción distal.

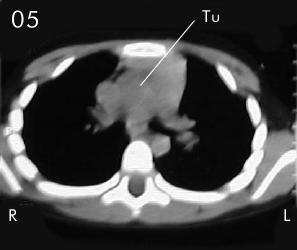
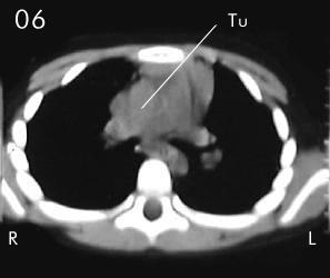
Tomografía torácica

Estudio Tomográfico tórax completo: En detalles los cortes progresivos desde el manubrio esternal hasta 2 cm sub carinal traqueal. (vistas desde el abdomen), (R) = derecho , (L) = Izquierdo; no se apreciaron procesos en pleura ni parenquima pulmonar.
En Mediastino antero superior:
Corte 01: Masa (Tu) densidad de partes blandas anterior lobulada con extensión lateral derecha de la traquea torácica.
Corte 02 y Corte 03: Se aprecia imagen de densidad de partes blandas en correlación con probable timo hiperplásico y/o timoma, extendiendose lateralmente a la derecha de la traquea con compresión y deformidad de la luz traqueal.
Corte 04: observe la extensión a ambos lados de la traquea a su nivel supra carinal y su compresión en el eje transverso de sus paredes.
Corte 05 y Corte 06: extensión peritraqueal y subcarinal de la lesión, bien limitada sin infiltración de estructuras vecinas.



 
 

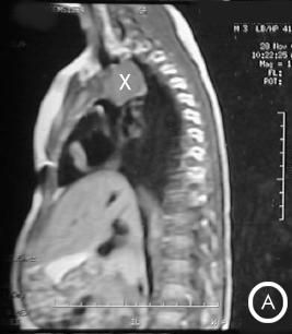
Resonancia Magnética 

Corte longitudinal antero-posterior:
  • Foto A: Corte longitudinal antero-posterior a la izquierda de la traquea. (X) = Masa mediastinal antero-superior en su extensión lateral izquierda de la traquea.
  • Foto B: Corte longitudinal antero-posterior a la derecha de la traquea: (X) Masa mediastinal antero-superior en su extensión lateral derecha traqueal.


Corte trasversal detrás de la traquea.

  • Foto C: (X) = el extremo derecho de la masa mediastinal.


 

Intervención

Decúbito supino, Incisión mediana longitudinal para  esternotomía media longitudinal. 

Luego de la liberación del xifoides, sección de ligamentos del manubrio esternal, disección retro-esternal digital y escisión longitudinal cefalo-caudal del hueso esternal.
Se rechazan ambas pleuras mediastínicas y se coloca el separador esternal de finochetto.
Disección cortante y digital de la lesión mediastinal desde su lóbulo inferior derecho, suspendida en la pinza, su extensión latero-traqueal derecha

Liberada y resecada la masa mediastinal (gládula timica), observamos el mediastino antero-superior libre y el tronco venoso braquio cefálico o gran vena innominada libre (V), dos venas tímicas gruesas fueron ligadas y seccionadas.
En el Fondo el pericardio anterior.(P)


 
El timo resecado
Timo, de 13 cms de longitud, con 7 cm de amplitud, entre 7y 5 cm de espesor, con un prolongado segmento cervical drecho, aumentado en consistencia y a la palpación nodular, se envia integro para su estudio histo patológico.
El timo resecado, de aspecto grueso y grande como descrito, dos lóbulos indicados por la flecha en la escala centimetrada. (A) porción anterior timica que se extendia hasta el cuello en su lóbulo derecho, (B) la porci'on lateral traqueal derecha (C) la posterior traqueal ( D ), la porción lateral izquierda traqueal, la escala nos muestra sus dimensiones.
Fotos abajo:a la izquierda. Colocado sobre un sibial a manera de traquea, la glándula vista anterior como en su posición encontrada, a la derecha, en mano vista posterior observe como rodeaba a la traquea.

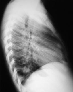
Radiologia Post Operatoria


 
 
Rx Tórax PA. y Lateral Izquierda- Post operatorio 12 dias, consulta externa ambulatoria, Imagen Pleuro pulmonar normal, silueta cardiaca centrada y mediastino de aspecto normal. en la proyección lateral estudio normal, no apreciamos la densidad mediastinica de la radiografia pre operatoria; 4 anillos de sutura de osteosintesis esternal, alambre de acero, dificiles de observar en la densidad de una radiografia PA pulmonar.

Comentarios

      Sobre los tumores del mediastino
  • Los tumores del mediastino se pueden originar de tejidos propios de la región ( tumores primarios) o bien como siembra o metastasis de tumores primarios de otros órganos.
  • Según la posición que ocupan en el mediastino pueden ser mediastinales anteriores, medios o posteriores. esto es valido cuando por su tamaño sean limitados a una de estas regiones, pero no es infrecuente observar que un tumor mediastinal al ser diagnosticado se encuentre ocupando o estendiendose a una región contigua.
  • Entre los tumores del compartimiento anterior primarios tenemos los timomas, quistes del timo, carcinoide timo, linfomas, tumores de paratiroides, los bocios sumergidos o bocios ectópicos mediastinales del tiroides y otros tumores mesenquimaticos mas raros y de los metastasicos los tumores endocrinos como el seminoma mediastinal.
  • En el mediastino medio observamos linfomas, tumores de origen bronquial, los neurogénicos y también seminomas pueden encontrarse.
  • Entre los tumores del mediastino posterior: los de origen neurogénico y mesenquimaticos.
  • Cuando observamos una masa mediastinal, debemos siempre pensar que estamos ante una situación anormal y agotar los recursos diagnósticos, solo su etiología histológica marcara la pauta en su conducta.
  • La tomografia, la resonancia magnética, solo nos muestra la ubicación, tamaño y extensión de la lesión, esto es importante porque nos sugiere la etiología, grado de malignidad, grado de resecabilidad etc. Solo su estudio histopatologico marcara la pauta adecuada de tratamiento y evidentemente esta se realiza por métodos invasivos.
  • La compresión o invasión de estructuras vecinas vitales producen síntomas y signos significativos que generalmente condicionan sus motivos de consultas y requieren diagnóstico histopatologico de emergencia generalmente por procedimientos invasivos.
  • La compresión extrínseca concéntrica con estenosis de la traquea, es un hecho evidente en la evolución en este caso y requiere de su resección quirúrgica para asegurar la permeabilidad de la vía aérea.

      Sobre la técnica Operatoria
  • La incisión recomendada para la exéresis de un tumor del mediastino anterior es la esternotomia media longitudinal.
  • La incisión de la piel puede ser trasversal, sobre todo en las niñas, por mera estética; lo adecuado y razonable es tener la mejor exposición y el mejor campo es el que brinda la incisión longitudinal en todos sus planos, con mas razón cuando la resección abarca extensiones mediastinales posteriores o hileares pulmonares.
  • Excepcionalmente la exéresis de un tumor del mediastino voluminoso requiere de abordajes quirúrgicos torácicos combinados.

  •  

Resultado Histopatologico

  • Timo hiperplásico benigno.
Imprima Artículo Imprima articulo

| Paciente | Radiología | Tomografia | Resonancia | Intervención | Timo resecado | Comentarios |

Agradecimientos al personal del Hospital "Dr. Domingo Luciani", en especial los Servicios de Anestesiologia ,  Pediatria "B",  Terapia Intensiva Pediatrica, Area quirúrgica y su personal de Enfermeria,  Intrumentistas,  Circulantes, todos en compromiso con esta noble profesión.

Rubén Henríquez Homepage
| Página Principal | Imágenes familiares | Actividades Médicas | Pósters | Casos Interesantes |
| Imágenes Médicas | Trabajos de Investigación | Conexiones | Informaciones |

1