Elaborado e Mantido por:
                Laboratório de Patologia Clínica Veterinária - DMV/UFRPE  

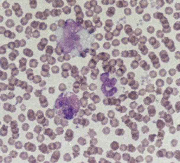
MONÓCITO X EOSINÓFILO X SEGMENTADO OVINO

Nesta lâmina de esfregaço sanguíneo podem ser comparados as três células: o monócito é típico (alto da foto) apresenta citoplasma irregular de coloração finamente cinza granular, núcleo não uniforme e vacuolações. O eosinófilo (abaixo a esquerda) contêm em seu citoplasma inúmeros grânulos de cor alaranjada, enquanto que o neutrófilo segmentando possui núcleo multilobulado sem grânulos evidentes no citoplasma (abaixo a direita).


«« VOLTAR
Índice
Comparação Celular
Foto: Flávio Medeiros Paz e Silva
Laboratório de Patologia Clínica Veterinária - UFRPE

sm_cjpLogo.gif

© Copyright 2003 - Flame Peace Productions ®. All rights reserved. O material disponível neste site é somente para finalidades educacionais e não é pretendido para finalidade diagnóstica, clínica ou outra relacionada. Flame Peace Productions não possui nenhuma responsabilidade para uso ou emprego errado deste material.

Flame Peace Productions ®
Webdesigner: Flávio Paz
© Copyright 2003 - All Rights Reserved
Melhor visualizado em INTERNET EXPLORER

Hosted by www.Geocities.ws

1