Elaborado e Mantido por:
                Laboratório de Patologia Clínica Veterinária - DMV/UFRPE  

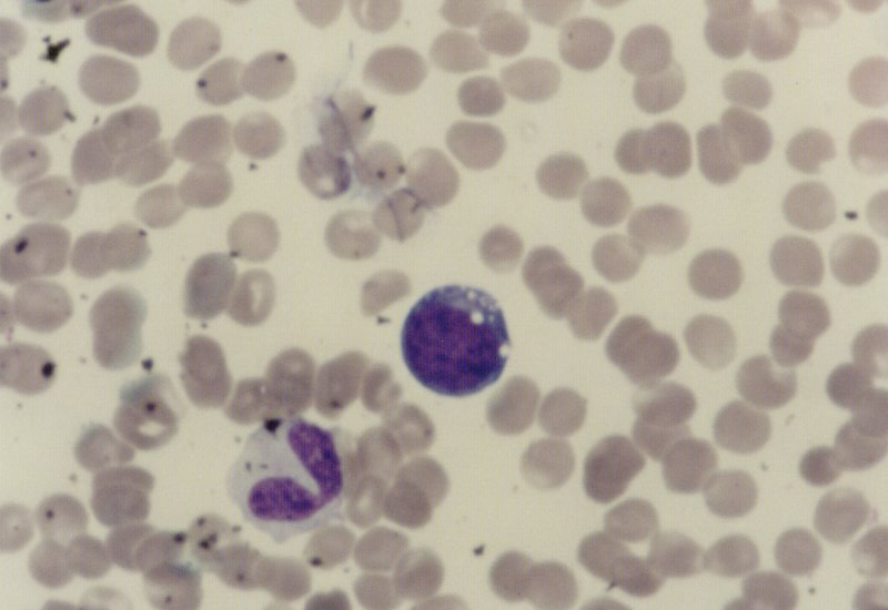
LINFÓCITO REATIVO (ATÍPICO)

Linfócito reativo: intensa basofilia (citoplasma azul escuro) e vacuolização citoplasmática. As manchas pretas do lado esquerdo são artefatos do esfregaço sanguíneo. Ainda é possível visualizar um neutrófilo bastonete. Canino, Aumento de 1000x.


«« VOLTAR
Índice
Achados Celulares
Foto: Flávio Medeiros Paz e Silva
Laboratório de Patologia Clínica Veterinária - UFRPE

sm_cjpLogo.gif

© Copyright 2003 - Flame Peace Productions ®. All rights reserved. O material disponível neste site é somente para finalidades educacionais e não é pretendido para finalidade diagnóstica, clínica ou outra relacionada. Flame Peace Productions não possui nenhuma responsabilidade para uso ou emprego errado deste material.

Flame Peace Productions ®
Webdesigner: Flávio Paz
© Copyright 2003 - All Rights Reserved
Melhor visualizado em INTERNET EXPLORER

Hosted by www.Geocities.ws

1