Elaborado e Mantido por:
                Laboratório de Patologia Clínica Veterinária - DMV/UFRPE  

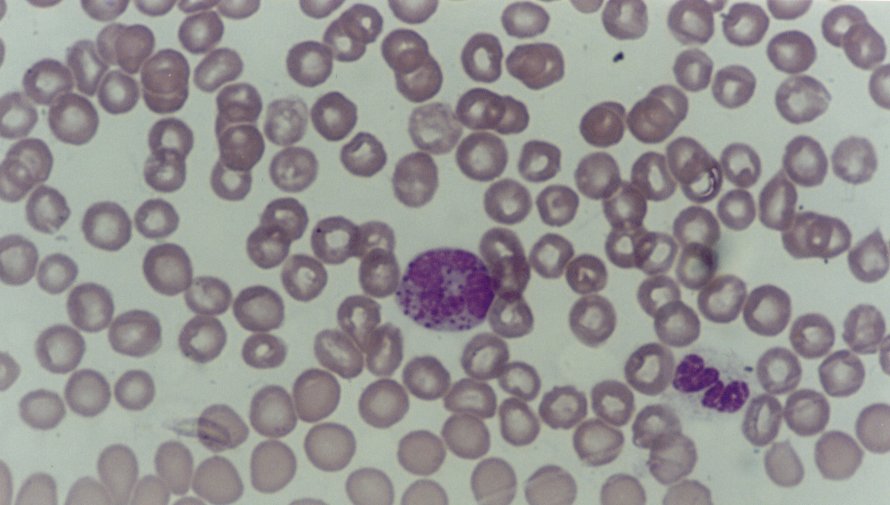
BASÓFILO CANINO

O basófilo é uma célula rara na circulação. Sua presença ou aumento no sangue circulante não tem função diagnóstica. Na coloração MGG, seus grânulos tornan-se mais perseptíveis já que se coram mais intensamente. Canino, Aumento de 1000x. Coloração May Grunwald Giensa.


«« VOLTAR
Índice
Células Brancas
Foto: Flávio Medeiros Paz e Silva
Laboratório de Patologia Clínica Veterinária - UFRPE

sm_cjpLogo.gif

© Copyright 2003 - Flame Peace Productions ®. All rights reserved. O material disponível neste site é somente para finalidades educacionais e não é pretendido para finalidade diagnóstica, clínica ou outra relacionada. Flame Peace Productions não possui nenhuma responsabilidade para uso ou emprego errado deste material.

Flame Peace Productions ®
Webdesigner: Flávio Paz
© Copyright 2003 - All Rights Reserved
Melhor visualizado em INTERNET EXPLORER

Hosted by www.Geocities.ws

1