Elaborado e Mantido por:
                Laboratório de Patologia Clínica Veterinária - DMV/UFRPE  

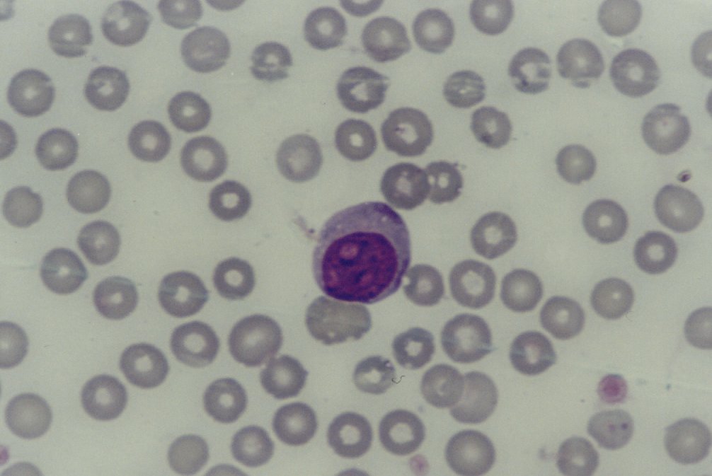
LINFOBLASTO

Presença de um percursor da linhagem linfocitária na circulação. O linfoblasto não é normalmente encontrado no sangue circulante. Ele pode ser diferenciado dos grandes linfócitos graças a presenças dos nucléolos do núcleo (aneis nucleares). Nota-se nessa célula 3 anéis, que são áreas claras circulares redondas bem delimitadas no interior do núcleo da célula. Canino, aumento de 1000x.


«« VOLTAR
Índice
Achados Celulares
Foto: Flávio Medeiros Paz e Silva
Laboratório de Patologia Clínica Veterinária - UFRPE

sm_cjpLogo.gif

© Copyright 2003 - Flame Peace Productions ®. All rights reserved. O material disponível neste site é somente para finalidades educacionais e não é pretendido para finalidade diagnóstica, clínica ou outra relacionada. Flame Peace Productions não possui nenhuma responsabilidade para uso ou emprego errado deste material.

Flame Peace Productions ®
Webdesigner: Flávio Paz
© Copyright 2003 - All Rights Reserved
Melhor visualizado em INTERNET EXPLORER

Hosted by www.Geocities.ws

1