Elaborado e Mantido por:
                Laboratório de Patologia Clínica Veterinária - DMV/UFRPE  

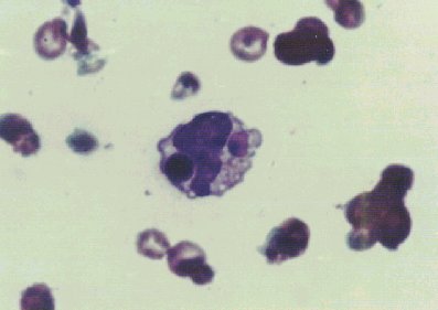
EHRLICHIA SP

Essa célula possui em seu citoplasma uma inclusão de uma partícula enegrecida não identificada à esquerda e uma mórula de Ehrlichia sp à direita. Canino, Aumento de 1000x. Caso clínico de uma animal atendido com mucosas anemicas (branco porcelana), hematócrito de 7% e presença de outras mórulas em células granulocíticas e linfocíticas. Canino, aumento de 1000x.


«« VOLTAR
Índice
Hemoparasitas
Foto: Flávio Medeiros Paz e Silva
Laboratório de Patologia Clínica Veterinária - UFRPE

sm_cjpLogo.gif

© Copyright 2003 - Flame Peace Productions ®. All rights reserved. O material disponível neste site é somente para finalidades educacionais e não é pretendido para finalidade diagnóstica, clínica ou outra relacionada. Flame Peace Productions não possui nenhuma responsabilidade para uso ou emprego errado deste material.

Flame Peace Productions ®
Webdesigner: Flávio Paz
© Copyright 2003 - All Rights Reserved
Melhor visualizado em INTERNET EXPLORER

Hosted by www.Geocities.ws

1