Elaborado e Mantido por:
                Laboratório de Patologia Clínica Veterinária - DMV/UFRPE  

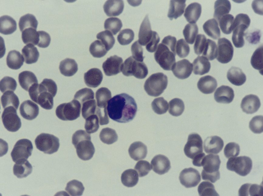
EHRLICHIA CANIS

A mórula toma quase metade da área do citoplasma celular. Animal: Leona (Cocker Spaniel), femêa, 1 ano. Apresentando anemia normocítica normocrômica e hematócrioto de 20 % . Canino, Aumento de 1000x.


«« VOLTAR
Índice
Hemoparasitas
Foto: Adriano da Silva Carneiro
Laboratório de Patologia Clínica Veterinária - UFRPE

sm_cjpLogo.gif

© Copyright 2003 - Flame Peace Productions ®. All rights reserved. O material disponível neste site é somente para finalidades educacionais e não é pretendido para finalidade diagnóstica, clínica ou outra relacionada. Flame Peace Productions não possui nenhuma responsabilidade para uso ou emprego errado deste material.

Flame Peace Productions ®
Webdesigner: Flávio Paz
© Copyright 2003 - All Rights Reserved
Melhor visualizado em INTERNET EXPLORER

Hosted by www.Geocities.ws

1