Elaborado e Mantido por:
                Laboratório de Patologia Clínica Veterinária - DMV/UFRPE  

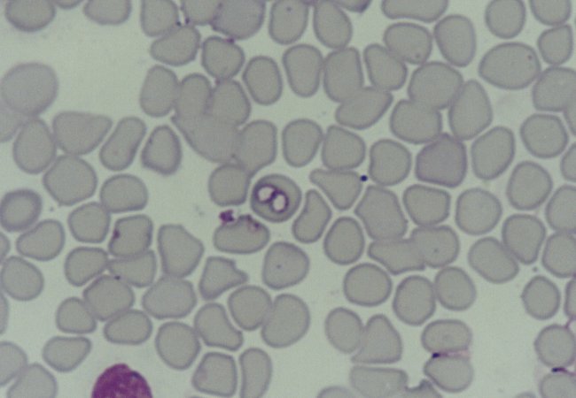
BABESIA CANIS

Babesia canis em eritrócito circulante. A forma do hemoparasita apresentada nessa célula é frequenetemente encontrada. Lâmina de esfregaço sanguíneo originado do sangue capilar (ponta de orelha). Canino, aumento de 1000x, coloração May Grunwald Giensa.


«« VOLTAR
Índice
Hemoparasitas
Foto: Flávio Medeiros Paz e Silva
Laboratório de Patologia Clínica Veterinária - UFRPE

sm_cjpLogo.gif

© Copyright 2003 - Flame Peace Productions ®. All rights reserved. O material disponível neste site é somente para finalidades educacionais e não é pretendido para finalidade diagnóstica, clínica ou outra relacionada. Flame Peace Productions não possui nenhuma responsabilidade para uso ou emprego errado deste material.

Flame Peace Productions ®
Webdesigner: Flávio Paz
© Copyright 2003 - All Rights Reserved
Melhor visualizado em INTERNET EXPLORER

Hosted by www.Geocities.ws

1