Elaborado e Mantido por:
                Laboratório de Patologia Clínica Veterinária - DMV/UFRPE  

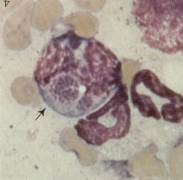
EHRLICHIA CANIS

Mórula de Ehrlichia sp em uma célula monocitóide na medula óssea de um cão experimentalmente infectado. Canino, aumento de 1000x.


«« VOLTAR
Índice
Hemoparasitas

Fonte: JAIN, N. C. Essentials of Veterinary Hematology. 4ed., Philadelphia: Lea & Febiger, 417p, 1993.

sm_cjpLogo.gif

© Copyright 2003 - Flame Peace Productions ®. All rights reserved. O material disponível neste site é somente para finalidades educacionais e não é pretendido para finalidade diagnóstica, clínica ou outra relacionada. Flame Peace Productions não possui nenhuma responsabilidade para uso ou emprego errado deste material.

Flame Peace Productions ®
Webdesigner: Flávio Paz
© Copyright 2003 - All Rights Reserved
Melhor visualizado em INTERNET EXPLORER

Hosted by www.Geocities.ws

1