Elaborado e Mantido por:
                Laboratório de Patologia Clínica Veterinária - DMV/UFRPE  

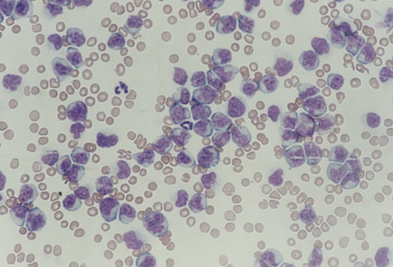
DESORDENS LINFOPROLIFERATIVAS

Percursores de linfócitos na circulação. Essas células deveriam estar confinadas a médula óssea, contudo entraram na circulação de forma não controlada. A contagem de neutrófilos ultrapassou os 200.000 /por microlitro de sangue. Note a quantidade e o tamanho das células (compare ao segmentado normal no centro). Canino, Aumento de 1000x.


«« VOLTAR
Índice
Achados Celulares
Foto: Adriano da Silva Carneiro
Laboratório de Patologia Clínica Veterinária - UFRPE

sm_cjpLogo.gif

© Copyright 2003 - Flame Peace Productions ®. All rights reserved. O material disponível neste site é somente para finalidades educacionais e não é pretendido para finalidade diagnóstica, clínica ou outra relacionada. Flame Peace Productions não possui nenhuma responsabilidade para uso ou emprego errado deste material.

Flame Peace Productions ®
Webdesigner: Flávio Paz
© Copyright 2003 - All Rights Reserved
Melhor visualizado em INTERNET EXPLORER

Hosted by www.Geocities.ws

1