Elaborado e Mantido por:
                Laboratório de Patologia Clínica Veterinária - DMV/UFRPE  

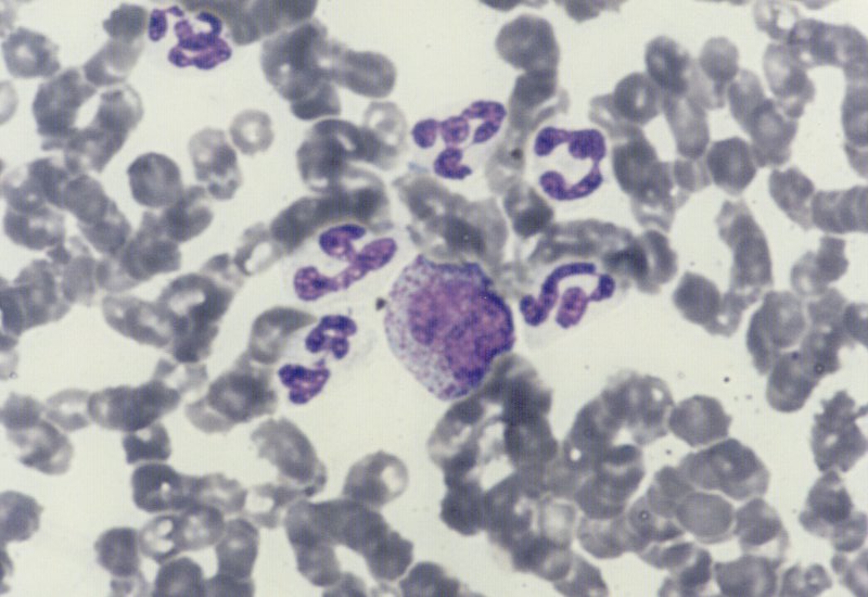
PERCURSOR CELULAR

A célula central (maior de todas na foto) foi encontrada no sangue periférico circulante de um canino com Desvio nuclear intenso (78.000/por microlitro de sangue). Por sua caractéristica e a presença de granuçações citoplasmática avermelhadas, acredita-se ser um percursor de basófilo ou eosinófilo. Canino, Aumento de 1000x.


«« VOLTAR
Índice
Achados Celulares
Foto: Flávio Medeiros Paz e Silva
Laboratório de Patologia Clínica Veterinária - UFRPE

sm_cjpLogo.gif

© Copyright 2003 - Flame Peace Productions ®. All rights reserved. O material disponível neste site é somente para finalidades educacionais e não é pretendido para finalidade diagnóstica, clínica ou outra relacionada. Flame Peace Productions não possui nenhuma responsabilidade para uso ou emprego errado deste material.

Flame Peace Productions ®
Webdesigner: Flávio Paz
© Copyright 2003 - All Rights Reserved
Melhor visualizado em INTERNET EXPLORER

Hosted by www.Geocities.ws

1