Elaborado e Mantido por:
                Laboratório de Patologia Clínica Veterinária - DMV/UFRPE  

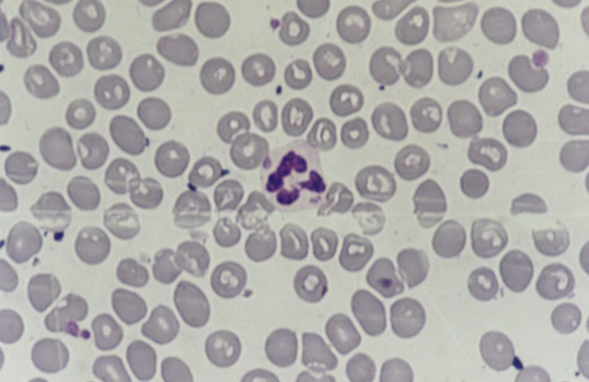
INCLUSÃO VIRAL
Inclusão viral em neutrófilo segmentado. A inclusão (corpúsculo de Lentz) se caracteriza por pequenas manchas róseas redondas ou circulares no citoplasma da célula. É característica da infecção pelo vírus da cinomose canina. Canino, Aumento de 1000x.


«« VOLTAR
Índice
Achados Celulares
Foto: Flávio Medeiros Paz e Silva
Laboratório de Patologia Clínica Veterinária - UFRPE

sm_cjpLogo.gif

© Copyright 2003 - Flame Peace Productions ®. All rights reserved. O material disponível neste site é somente para finalidades educacionais e não é pretendido para finalidade diagnóstica, clínica ou outra relacionada. Flame Peace Productions não possui nenhuma responsabilidade para uso ou emprego errado deste material.

Flame Peace Productions ®
Webdesigner: Flávio Paz
© Copyright 2003 - All Rights Reserved
Melhor visualizado em INTERNET EXPLORER

Hosted by www.Geocities.ws

1