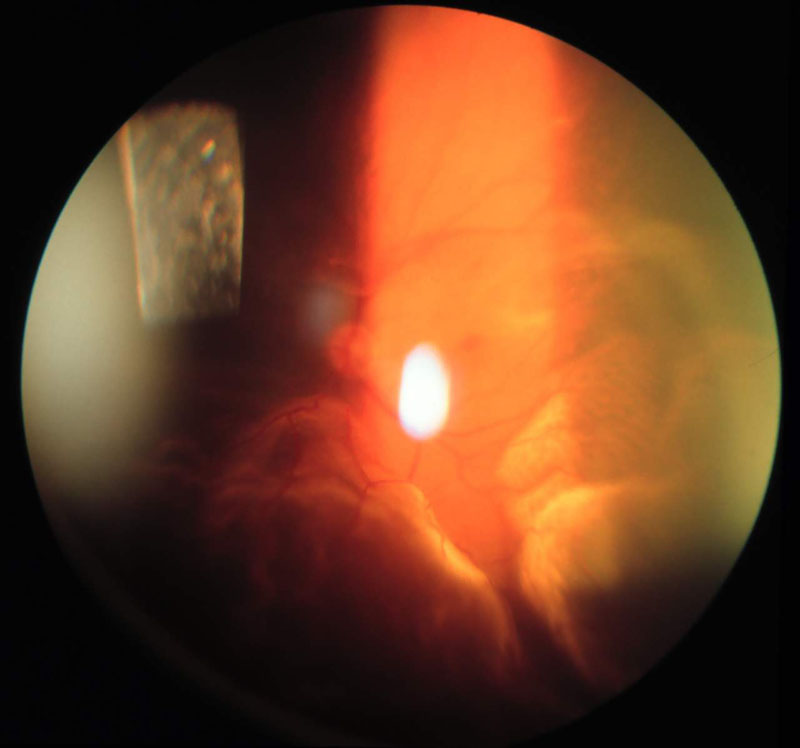
1. ábra

 2. ábra

1. ábra Óriás szakadás következtében kialakult ablatio retinae szemfenéki képe. A QuadrAsphericus lencse széle látószögének köszönhetően gyorsan áttekinthetjük a fundus egészét. Jól érzékelhető az óriás szakadás kötényszerűen előrehajló hátsó széle.

2. ábra Vitrectomia, siliconolaj beültetés után alul bullosus jellegű retina leválás alakult ki. A TransEquator lencsével készített felvételen a látószög az előbbinél kisebb, a kép felbontása azonban nagyobb.

 

 3. ábra

 4. ábra

5. ábra

 6. ábra

3. ábra Az üvegtesti tér elülső harmadát legjobban réslámpával, kiegészítő eszköz alkalmazása nélkül vizsgálhatjuk. A képen a cornea és a lencse reflexe mögött a mérsékelten elfolyódott üvegtest rostjai észlelhetők. A rostok között az elfolyósodott gél optikailag tiszta.

4. ábra A 25-szörös nagyítással készített felvételen asteroid hyalosist látunk. A különböző nagyságú kristályok morfológiájának részletei is pontosan kivehetőek.

5. ábra Az üvegtesti gél középső és hátsó harmadát funduslencsék segítégével tekinthetjük át. A QuadrAsphericus kontaktlencse segítségével készült kis nagyítású felvételen az elfolyósodott üvegtesti gél rostjain sejtkonglomerátumok tűnnek fel. Az elfolyósodott üvegtest optikailag tiszta.

6. ábra A 25-szörös nagyítással, +66 D-ás lencsén keresztül készített felvételen a funduslencse nagy felbontóképessége ellenére sem vehető ki az asteroid hyalosis kristályainak morfológiája.

 

 

 7. ábra

 8. ábra

7. ábra A funduskamerával készített felvételen a készüléket a levált Weiss gyűrűre fókuszáltuk. (nyíl) Diffúz megvilágításban azonban az üvegtest homályait nehezen vesszük észre. Az inserten az összesodródott Weiss gyűrű körvonalait digitális képfeldolgozás útján emeltük ki.

8. ábra A réslámpával, asphaericus funduslencsén keresztül készített fotón a Weiss gyűrű nemcsak kiemelkedik környezetéből, de az is sejthető, hogy a gyűrű szintje a hátsó üvegtesti felszín vonalában van.

 9. ábra

 10. ábra

9. ábra A gél collapsusával járó hátsó üvegtesti leválás fényképén az összeesett üvegtest opálos reflexét az optikailag tiszta retrohyaloideális tértől a hátsó üvegtesti kéreg jellegzetes rajzolata választja el. A fotó QuadrAsphericus kontaktlencsével készült.

10. ábra A hátsó üvegtesti leválást nem kísérte a gél collapsusa. A hátsó üvegtesti felszín a retina síkjával párhuzamosan fut, az üvegtesti kéreg jól kivehető.

 

 11. ábra

 12. ábra

11. ábra Rhegmatogén hátsó üvegtesti leválást, a hátsó pólus előtt, az üvegtesti kéreg praemacularis nyílásán keresztül a retrohyaloideális térbe nyomult üvegtesti gélt figyelhetünk meg. A herniálódott gél határait a résfény nasalis oldalán összecsapzódott sejtek jelzik. A résfény területében herniálódott gél a retina rajzolatát elmosódottabbá teszi.

12. ábra Rhegmatogén hátsó üvegtesti leválás képe. A résfényt a papillomacularis köteg területére vetítettük. Az üvegtesti gélt apró sejtek sűrűn infiltrálják, ezért a hátsó üvegtesti felszín kontúrja jól kivehető. A papilla vetületében a gél prolapsusára utaló eltérést nem találunk.

 

 13. ábra

14. ábra

13. ábra Rhegmatogén hátsó üvegtesti leválás képe. A hátsó üvegtesti felszín kontúrját orgonasípszerű, függőleges redő teszi szabálytalanná. A redő a hátsó pólus közelében vaskosabb, az üvegtesti basis közelében ellapul.

14. ábra A 17 éves, uveitis miatt kezelt beteg hátsó üvegtest leválása látszik a QuadrAsphericus kontaktlencsével készített réslámpás fotón. A hátsó üvegtesti felszínszabálytalan, a hátsó pólus előtt az üvegtesti kéreg kesztűujjszerűen hátrafelé türemkedik. Míg hátsó üvegtesti felszín 13. Ábrán látható redője perifériás kóros vitreoretinális adhaesio jele, addig a kesztűujjszerű kitüremkedés kóros vitreomacularis kapcsolatra utal.

 

15. ábra

16. ábra

15. ábra A rhegmatogén hátsó üvegtesti leválás súlyos retrohyaloideális vérzéssel szövődött. A gél csaknem teljesen tiszta volt, így a hátsó üvegtesti felszín kontúrját ki lehetett venni. A biomikroszkópos képen felül látható kerek elváltozás az üvegtest hátsó felszínének redőjéhez csatlakozott. A biomikroszkópos lelet alapján a redő retinális vetületében retina szakadást feltételeztünk.

16. ábra A beteget 24 órán keresztül két szemes kötéssel fektettük. Ez idő alatt a retrohyaloideális vérzés kiülepedett, és a fundust meg tudtuk vizsgálni. A 60o-os funduskamerával készített felvételen a csíkolt vérzések a hátsó üvegtesti kérget borítják. A vérzések felett a kiszakadt, kerek retinadarab, a vérzések alatt pedig a retina szakadása látszik. 

 

 

17. ábra

18. ábra

19. ábra

17. ábra A perifériás retina szakadás kialakulását gyakran kíséri a hátsó üvegtesti leválás felléptekor kisebb-nagyobb üvegtesti vérzés. A 60o-os funduskamerával készített fotón oedemás laser gócokkal körülvett, equatortáji patkó alakú szakadást látunk.

18. ábra A retina szakadáshoz alul az üvegtesti basis hátsó szélén végigcsurgó, csíkszerű, praeretinális vérzés társult.

19. ábra A vérzés sapkaszerűen fedi a hátsó pólus előtt, a retrohyaloideális térbe herniálódott üvegtesti gél is.

20. ábra

21. ábra

22. ábra

23. ábra

20. ábra QuadrAsphericus kontaktlencsével készített réslámpás felvétel. Az üvegtestben szabálytalan alakú lacuna figyelhető meg. A lacuna falára sejtek rakódtak ki, de az elfolyósodott üvegtest víztiszta, a környező üvegtesti gél sem mutatja gyulladás, vagy tumoros infiltráció jeleit. Így a lacuna falait borító sejteknek nem tulajdonítunk patológiás jelentőséget.

21. ábra Az elfolyósodott üvegtest összecsapzódott rostjain észlelhető sejtkonglomerátumok régi gyulladásos folyamat maradványtünetei lehetnek.

22. ábra Retinitis pigmentosában szenvedő beteg üvegtestjének réslámpás, biomikroszkópos fényképe. Az üvegtesti sejtek, sejtkonglomerátumok, Tyndall jelenség néha megtévesztésig hasonlítanak krónikus uveitisre.

23. ábra Az uveitisben szenvedő gyermek szemtükri képe alapján diffúz borússágot, nagy úszkáló homályokat véleményeztünk. A réslámpás biomikroszkópos vizsgálat azonban kimutatta, hogy a gyulladásos beszűrődés az üvegtesti gél egészét nem érintette, a sejtkonglomerátumok csak a collabált üvegtest hátsó felszínére rakódtak le.

24. ábra

25. ábra

24. ábra Bullosus retina leválás 60o-os funduskamerával készített fényképe. A rácsos degeneratiók területében számos, apró, patkó alakú retina szakadás tűnik fel.

25. ábra A réslámpás, biomikroszkópos képen jobb érzékelhető az elemelkedett retina domború felszíne. Pontosan azonosítható retinától elszeparálódott üvegtest hátsó felszíne, megfigyelhető a rácsos degeneratio szélén a kóros vitreoretinális adhaesio, és az üvegtesti gél kondenzálódása, lokális elfolyósodása.

26. ábra

27. ábra

26. ábra Felső bullosus retina leválás réslámpás biomikroszkópos képe. A patkó alakú szakadás alakját az elemelkedett retina deformálta.

27. ábra A retina szakadáshoz a hátsó üvegtesti felszín függőleges irányú redője kapcsolódik. A retina szakadás a képen nem látszik, de a terület a retina mindkét képen látható ferde irányú redője alapján azonosítható.

28. ábra

29. ábra

28. ábra Phakiás szemen, teljes vastagságú maculalyuk következtében kialakult bullosus retina leválás réslámpás biomikroszkópos felvétele. A praeoperatív vizsgálat során egyéb, perifériás retina szakadást nem találtunk.

29. ábra Az üvegtesti tér biomikroszkópos vizsgálata anomális hátsó üvegtesti leválást fedezett fel: felül az üvegtest hátsó felszíne szorosan illeszkedett a retinához, alul viszont magasan elemelkedett tőle. A biomikroszkópos kép alapján valószínűsítettük, hogy a retina leválását csak a maculalyuk okozta. Az elvégzett sikeres vitrectomia igazolta a feltételezés helyességét.

30. ábra

31. ábra

30. ábra Proliferativ diabeteses retinopathia, részleges hátsó üvegtesti leválás következtében fellépett masszív, retrohyaloideális vérzés képe. Az üvegtest elülső részei tiszták, a vérzés haematomaszerű jellege, a hátsó üvegtesti kéreg, a papilláról az üvegtesti térbe nyúló proliferativ membrán körvonalai jól kivehetőek.

31. ábra A diabeteses retinopathiához, részleges hátsó üvegtesti leváláshoz társuló retrohyaloideális vérzések néha egészen enyhék is lehetnek. A hátsó üvegtesti felszínre rakódó véralakelemek azonban jelentősen ronthatják a látást. A képen a hátsó üvegtesti felszínt borító vérzések finom vörös csíkok formájában tűnnek elő.

32. ábra

33. ábra

32. ábra Az üvegtesti gélbe tört vérzések enyhébb formáikban kirajzolják a gél hagymalevélszerű struktúráját. A funduskamerával készített felvételen felül a vérzések sajkaszerű megjelenését az üvegtest felépítése magyarázza.

33. ábra A fiatal, tompa szemsérülést szenvedett beteg vérzései a hátsó üvegtesti kéregre rakódtak ki. A vérzések szabálytalan alakúak, a retinától nagyjából azonos távolságban vannak. Biomikroszkópos vizsgálattal jól megfigyelhető a vérzések és a retina között elhelyezkedő tiszta üvegtesti kéreg.

34. ábra

35. ábra

34. ábra Ablatio retinae ellen végzett bedomborító műtét után macular pucker alakult ki. A réslámpás biomikroszkópos felvételen részleges hátsó üvegtesti leválás, az epiretinális membán széléhez kapcsolódó hátsó üvegtesti felszín figyelhető meg.

35. ábra A részleges hátsó üvegtesti leválás egy retinális érszakaszra tractiót gyakorolva okozott üvegtesti vérzést. A biomikroszkópos kép jól mutatja a finoman elemelkedő érrészlethez húzódó hátsó üvegtesti felszínt.

36. ábra

37. ábra

36. ábra Artériális macroaneurisma következtében a maculatájon prae- és subretinális vérzéseket alakultak ki. A funduskamerával készített felvételen a nyíl a macroaneurismára mutat, a nyílhegy a hátsó üvegtesti kéreg praemacularis foramenjét jelzi. A foramen körül az üvegtesti kéreg gyűrűszerűen megvastagodott. A biomikroszkópos vizsgálat a gyűrű temporális felének elemelkedésével járó részleges hátsó üvegtesti leválást talált. Feltételezhető, hogy a macroaneurisma rupturáját a kóros vitreoretinális adhaesio provokálta.

37. ábra A késői fluorescein angiográfiás fényképen a macroaneurisma területében körülírt festékkilépés figyelhető meg.

Vissza az elejére | Tartalomjegyzék

 

Hosted by www.Geocities.ws

1