
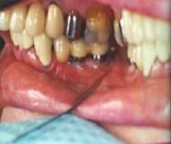
Un implante es una raíz dental prefabricada
que ocupa el sitio de un diente natural, sosteniendo los dientes nuevos. La
mayoría de ellos están hechos de titanio, el cual es un metal natural y
biocompatible con el cuerpo humano. En los años 50 el famoso investigador sueco
Per-Ingvar Brånemark (Brånemark System®
) descubrió que el titanio se integra con el hueso, utilizándose en
tratamientos de centenares de pacientes estos 30 últimos años.
El tratamiento con implantes puede ser
realizado por un Dentista, un Periodoncista o por un Estomatólogo con la
suficiente práctica y experiencia en este tipo de técnicas.

El coste dependerá de cada caso y de la clínica dental en la que se
realice el tratamiento. Es imposible dar una respuesta exacta sin haber hecho un
examen previo. Por eso, preguntar el precio por teléfono no suele tener
sentido. Es posible que el paciente no sea candidato; no todo el mundo puede
tener implantes. Se da una respuesta después de un examen. Según los elementos
en mano (chequeo, placas, moldes de yeso), le remitimos un presupuesto para las
partes quirúrgica y protésica. Es importante que tenga en cuenta que no
necesariamente necesita un implante para cada diente que le falta.

En primer lugar a los pacientes
totalmente desdentados. La mayoría de ellos son ancianos. A menudo, se
quejan de la inestabilidad de su dentadura (móvil) en la boca : tienen
problemas para masticar los alimentos y, por eso, pueden padecer de una mala
digestión.
También, están indicados para los pacientes
parcialmente desdentados (un
diente o algunos
dientes), es decir para los que han perdido dientes bien sea por enfermedad
periodontal (piorrea) cuando los dientes ya no tienen soporte óseo, o bien por
caries. En esos casos, se desarrolla la indicación de implante.
Un tratamiento por implantes tiene muchas
ventajas :
- Podrá hablar, reír y sonreír sin
preocuparse por sus nuevos dientes : están firmemente anclados y los sentirá
igual que si fueran sus propios dientes.
- Podrá comer lo que quiera sin ningún
problema, y apreciará mejor la comida.
- Es un método de tratamiento seguro y fiable
a largo plazo.
- Recuperará su sonrisa natural.
- No será necesario tocar los dientes sanos
adyacentes. Además, los implantes protegen los dientes que quedan y el hueso de
los maxilares. Tienen muchas ventajas nunca alcanzadas en el pasado en el
tratamiento de los dientes que faltan.

Claro que sí, como para cada acto quirúrgico.
En primer lugar, una mala salud general (enfermedades sanguíneas, cánceres,
trastornos mentales graves, ...) prohíbe la colocación de implantes. De todas
formas y en la mayoría de los casos, la relación con el médico de cabecera es
aconsejable.
En segundo lugar, es primordial un buen estado
de la boca : además de un cepillado riguroso de los dientes, las caries y los
problemas de encías deben ser tratados antes del acto implantorio. Además, es
importante la cantidad de hueso disponible (altura y anchura), su calidad, y la
localización de los obstáculos anatómicos (nervios, vasos sanguíneos,
cavidades).
En último lugar, el tabaco condiciona
negativamente el resultado a corto y largo plazo del tratamiento implantorio.
Esto se explica por el efecto local de los productos derivados de la combustión
del tabaco y el efecto general desencadenado por los productos tóxicos del
tabaco sobre el organismo. La encía alrededor de los implantes recibe un menor
aporte sanguíneo y de oxígeno, a la vez que disminuyen sus mecanismos
defensivos contra las bacterias de la placa bacteriana. Entonces, dejar de fumar
beneficia su salud bucal.
|
|
5- ¿ Cuáles son los exámenes previos? |
Primero, se hace un estudio completo de la boca para determinar las
necesidades del paciente, para medir la apertura bucal y ver si hay caries y
piorrea no tratadas.
Luego, se saca una placa (radiografía panorámica), para ver si es
posible colocar implantes. A partir de ese momento, se realizan moldes de yeso
para estudiar el futuro resultado estético de la prótesis.
Antes del acto quirúrgico, se prescribe un análisis de sangre. Se hace
un estudio sanguíneo para saber exactamente cuál es el estado general del
paciente. Es indispensable consultar con un anestesista por si se hace la
intervención con anestesia general (casi nunca), o con un analgésico (más frecuente).
|
|
6- ¿ Dónde y cómo se hace la intervención? |
El lugar quirúrgico debe ofrecer garantías de esterilidad. Excepto los
locales especialmente acondicionados, las consultas dentales normales no están
adaptadas para ello. En cambio, las policlínicas tienen ventajas técnicas
incomparables (quirófano) y la ayuda logística de un equipo médico. Se elige
una anestesia local para poner solo uno, dos o tres implantes. Para colocar más,
es preferible hacer una analgesia : el paciente está a semiconsciente pero no
siente nada; se olvida del tiempo de la intervención y no le queda ningún mal
recuerdo.
|
|
7- ¿ Por qué los implantes tienen que ser puestos en un quirófano? |
En un quirófano, el equipamiento está esterilizado y completo para la
fase quirúrgica del tratamiento. Además, los médicos y enfermeras de la clínica
están presentes permanentemente para su seguridad.
|
|
8- ¿ Cuáles son los riesgos de esta intervención? |
Ninguno, si las contra-indicaciones previamente citadas han sido
respetadas y se han tomado las precauciones de asepsia para evitar el riesgo de
infección.

Los implantes son puestos con mucho cuidado y con una anestesia local,
además de la analgésica, si es el caso. Se presta una atención particular a
no estropear los tejidos.
La mayoría de los pacientes nos dicen que no es peor que sacarse una
muela. De todas formas, se recetan anti-inflamatorios y calmantes posteriores.

Según los casos, hay que esperar entre 5 y 9 meses para que se integre
completamente un implante. Mientras tanto, el paciente sigue realizando una vida
normal con su prótesis provisional.

No existe el rechazo. Un rechazo concierne a órganos implantados en otro
organismo, tal como un transplante de corazón de otra persona. Pero en prótesis
sintéticas, no hay posibilidad de rechazo.
A pesar de todo, igual que en todas las técnicas médicas, los fracasos
son posibles. Pueden ocurrir por una infección o por un taladrado mal hecho.
Entonces, el implante resulta un poco doloroso y se mueve. Hay que quitarlo y
esperar a que el hueso se cicatrice. Se pone un nuevo implante después de una
completa cicatrización ósea.

¡ Sí ! Cuidar de los implantes permite conservarlos más tiempo. El
paciente tiene que vigilar su placa bacteriana y su cepillado. Es necesario que
vaya a consultar a su dentista por lo menos una vez al año.

Una vez colocado el puente soportado por implantes, las garantías de éxito
son las mismas que si la prótesis estuviera apoyada en dientes naturales.
Frecuentemente son superiores.
Los puentes ya realizados, han permanecido 15 años en más del 90% de los
casos. Parece ser que van a durar mucho más. Ya lo dirá el futuro.
Los implantes óseo-integrados de Brånemark han sido estudiados durante
tres décadas, mediante un meticuloso trabajo de desarrollo sistemático.
Hoy en día, los casos más antiguos datan de más de 30 años. Entre 1965
y 1992, se han puesto más de 236.000 implantes sobre casi 60.000 personas de 36
países diferentes.
Debido a esta experiencia, y desde Octubre 1993, todos los componentes de
los implantes Brånemark tienen una garantía de 10 años. Cualquiera que séa
el sistema elegido, una de las condiciones indispensable para que el buen
resultado se mantenga en el tiempo, es el control anual de los implantes.

¡ Hay de todo ! El Brånemark
System® es el sistema de implantes sobre el que se han hecho estudios
internacionales durante muchos años para probar su seguridad y eficacia. Hoy en
día, son más de 450.000 los pacientes tratados con este sistema y otros más
de 550.000 se añadirán hasta el año 2000.
Ha sido aprobado por la American Dental Association para los casos
totalmente o parcialmente desdentados.

El paciente tiene que confiar en lo que le aconseje su dentista. Hay que reconocer que existen varias cuestiones sobre los implantes de venta libre y sin ninguna reglamentación. Se admite ahora que la implantología moderna ha adquirido su carta de nobleza gracias al equipo sueco del Profesor Brånemark, el cual ha proporcionado las bases científicas necesarias y ha mejorado un sistema fiable desde 1967.
Son sustitutos artificiales de las
raíces de los dientes naturales. Son pequeños tornillos cilíndricos que se
colocan en los maxilares. Los dientes que se reemplazan son adheridos a la parte
del implante que sobresale de la encía.
A pesar que todos los
implantes dentales hayan brindado confort y aportado confianza a los pacientes
para sonreír, comer, hablar, etc., no son para
todos. El paciente ideal debe
tener un buen estado de salud y hueso adecuado en principio, para poder soportar
el implante. Igualmente es importante para el paciente el "compromiso a una
higiene oral muy buena y a una periódica visita al dentista.
Su odontólogo de
cabecera, periodoncista o protesista puede ayudarlo a decidir si el implante
dental es bueno para usted. Para tal decisión es necesario un examen bucal a
fondo, se hará una historia clínica personal, con un examen profundo del hueso
remanente, controlando la oclusión, radiografías, modelos de su boca para su
estudio y planeo de posible tratamiento.

Usted debe esclarecerse, preguntar,
informarse de los beneficios, riesgos y posibles alternativas.
Los implantes
dentales pueden reemplazar los dientes en la misma forma que lo hacen las raíces
con los dientes naturales.
Los implantes son una alternativa para las
dentaduras que se "mueven" o causan dolor. También pueden prevenir situaciones
incómodas por falta de algunas piezas dentarias.
Implantes con un cuidado
oral muy bueno y visitas periódicas a su dentista ya están puestos en boca por
más de 20 años y pueden durar toda una vida.

El implante dental requiere una inversión de
dinero mayor que una dentadura removible o un puente fijo convencional. Además
requiere una inversión de tiempo que puede llevar de 3 a 9 meses desde que se
inicia el tratamiento hasta que se finaliza. Si usted considera el tiempo que
puede durar un implante, la inversión en tiempo es razonable.
Como cualquier
procedimiento de cirugía, los implantes dentales encierran riesgos de infección.
Ocasionalmente se puede perder alguno y necesite ser reemplazado.

El tratamiento puede variar dependiendo del tipo
de implante y de la salud del paciente. Por ejemplo, muchos pacientes pueden
hacer el tratamiento de implantes en un consultorio odontológico común; otros
pueden necesitar un quirófano; la mayoría pueden realizarse con anestesia local
y otras intervenciones pueden realizarse con anestesia general para mayor
confort del paciente.
El primer paso es la instalación de los implantes
dentarios en el maxilar.
El segundo
paso, luego de una espera de 3 a 4 meses,
se colocan unos intermediarios a través de la encía, que son los que sostendrán
la futura prótesis.
El tercer y último paso es la colocación del sistema
protésico elegido, sobre los intermediarios colocados en el segundo paso, en
forma firme y precisa.
Después de finalizado el tratamiento, cepillado, hilo
dental, control de placa bacteriana y visitas periódicas al dentista son
necesarias, para el éxito de los implantes dentales.
Los tratamientos de
implantes dentales requieren conocimientos especiales, entrenamiento, equipo
técnico y facilidades, por eso cualquier odontólogo no puede brindar el
servicio. Sin embargo, el trabajo en conjunto de los especialistas con los
periodoncistas y protesistas es de desear.
Si usted quiere descubrir si los
implantes dentales le pueden dar el confort y confianza que necesita, consulte a
su odontólogo de cabecera, que él podrá ayudarlo a decidir si el implante dental
es apropiado para usted.
volver
PREGUNTAS FRECUENTES SOBRE LOS IMPLANTES
¿QUE SON LOS IMPLANTES DENTALES?
Los Implantes Dentales son unas raíces artificiales que se colocan (implantan) en el hueso mandibular o maxilar, creando una base sólida sobre la que se pueden efectuar tanto restauraciones de dientes individuales, como prótesis parciales o totales, y funcionan exactamente igual que nuestros dientes naturales.
Los implantes dentales nos permitirán masticar con total comodidad, sonreír y hablar con la misma seguridad que con nuestros propios dientes.
Su dentista le podrá dar información completa de su situación particular y le ayudará a decidir si los implantes dentales son su solución.
¿QUE OFRECEN LOS IMPLANTES DENTALES?
Mucha gente que ha perdido dientes encuentra difícil poder duplicar la función y estética con prótesis removibles. Hoy en día los Implantes Dentales vienen a ofrecer una solución que se acerca más a volver a tener dientes naturales. Ya sea que usted tenga dentaduras totales o puentes parciales, los Implantes Dentales pueden ser una opción y cambio favorable del estado general de su boca.
Existen tres componentes principales en los Implantes Dentales: El implante, que es el medio de enclaje y que se coloca quirúrgicamente dentro del hueso, el poste, que es el medio de unión entre el implante y la prótesis, y el diente individual artificial o prótesis completa.
Los tratamientos con Implantes Dentales no son una opción para todos. Su colocación es realizada por cirugía oral y el paciente debe gozar de buena salud, tener sus encías sanas y el hueso en condiciones adecuadas de soporte para la colocación de estos Implantes Dentales, aunque en la actualidad ya se puede colocar hueso sintético.
¿COMO SE YO SI LOS TRATAMIENTOS CON IMPLANTES
DENTALES SON BUENOS PARA MI?Si usted está considerando Implantes Dentales, una evaluación por su dentista ayudará a determinar si usted es buen candidato para Implantes Dentales o no. Esta evaluación incluye historia médica y dental con el fin de obtener información acerca de alguna condición médica como Diabetes, problemas cardiacos o alguna condición que interfiera con la cicatrización normal. Esté seguro de explicar a su dentista acerca de todas aquellas alergias que pueda tener a ciertos medicamentos y cuáles los que puede tomar. Si fuera necesario su dentista requeriría alguna consulta adicional con su médico general.
Durante la examinación dental el dentista examinará la condición general de su boca, el hueso de soporte para sus dientes existentes y la manera en que su maxilar superior se relacione con su maxilar inferior. Su dentista tal vez requiera de información adicional que se pueda obtener por medio de radiografías especializadas. Toda esta información ayudará al dentista a determinar si usted es buen candidato para Implantes Dentales, Cuál tipo de Implantes puede colocarse en su boca y cuál tipo de prótesis le favorece en estética y función.
¿SOY UN CANDIDATO IDEAL?
Si su respuesta es afirmativa a alguna de las siguientes preguntas, usted puede considerarse un candidato ideal para ser tratado con implantes.
¿Le faltan todos sus dientes o alguno de ellos?
¿Tiene dificultades con su dentadura removible, debido a que le incomoda, le hace daño o en general le molesta llevar algo de quita y pon en su boca?
¿Se siente inseguro con su sonrisa?
¿Tiene un defecto oral congénito o le falta alguna parte de su boca debido a un traumatismo o a una cirugía?
¿Hace cuantos años que no puede comer una chuleta?
La edad no es factor determinante a la hora de ser candidato a unos implantes, pero es recomendable no ponerlos antes de los 15 – 16 años, hasta que el crecimiento maxilar se haya completado.
Los pacientes totalmente edéntulos de edades avanzadas son los que más van a apreciar las ventajas de la implantología.
La cantidad y la calidad de su hueso maxilar serán algunos de los parámetros que su dentista deberá estudiar.
¿QUE SE REQUIERE PARA LA COLOCACIÓN DE IMPLANTES?
Tratamientos con Implantes Dentales pueden ser un poco más costosos que tratamientos convencionales. Requieren de ciertas vistas para completar este tratamiento.
Primero, la cirugía es realizada, esta puede durar un par de horas y de tres a seis meses será el tiempo requerido para permitir al hueso que crezca alredor del Implante y lo solidifique en posición. Algunos Implantes requieren cirugía adicional en los que un poste es colocado por encima del Implante y a través de las encías. Estas encías tendrán que cicatrizar por un par de semanas y es cuando la siguiente fase principia. Esta fase es la rehabilitación final y consiste en ajustar la prótesis o el diente artificial por encima del poste. Este procedimiento es de alta precisión y puede llevar hasta dos meses para completarse.
Las cirugías para colocación de Implantes Dentales pueden realizarse en un consultorio Dental propiamente equipado o en un hospital. Estos Implantes pueden colocarse con anestesia local o bajo sedación endovenosa. Normalmente después de la colocación de Implantes Dentales, su dentista prescribirá antibióticos y analgésicos, así como el cuidado postoperatorio y dieta a seguir durante el periodo de cicatrización.
¿CUALES SON LOS RIESGOS Y BENEFICIOS QUE
PUEDA YO OBTENER CON IMPLANTES DENTALES?Los Implantes Dentales proveen de una apariencia más natural y de mejor estabilidad para dentaduras removibles. La gente que no puede usar prótesis convencionales como placas totales o que no se ajustan a utilizar puentes removibles pueden ser candidatos a recibir Implantes.
![]()
Algunos de los riesgos que pudieran ocurrir son daños a dientes vecinos, nervio dentario, o pérdida de hueso alrededor de el Implante. Todas estas complicaciones pueden evitarse estableciendo un adecuado diagnóstico y plan de tratamiento, más la especialización adecuada de su dentista en este terreno.
¿COMO DEBO CUIDAR MIS IMPLANTES DENTALES?
La posibilidad de infección en las encías existe inclusive con dientes
naturales, es por eso que cepillado, uso de hilo dental y visitas regulares a su dentista son esenciales para el éxito de su tratamiento. Siguiendo todas esta indicaciones mas la conservación de su buen estado de salud, lograrán tener el mejor pronóstico para sus Implantes.
¿QUE RIESGOS EXISTEN DE QUE UN IMPLANTE SE
PUEDA RECHAZAR?El rechazo no existe mas en implantología, los materiales que se emplean son denominados biomateriales esto los hace compatibles con los tejidos humanos. El titanium es el material mas utilizado hoy en día.
¿CUANTOS TIPOS DE IMPLANTES DENTALES EXISTEN?
Existen varios tipos de Implantes Dentales. Los mas empleados son: Subperiósticos y Endóseos. La decisión acerca de qué tipo de Implante es el mas adecuado para su situación es basada en la cantidad de hueso existente.
¿COMO DEBO YO SELECCIONAR A EL DENTISTA QUE REALICE
ESTE TIPO DE TRATAMIENTO CON IMPLANTES DENTALES?El primer paso, es preguntar a su dentista información al respecto o que le refiera al especialista en implantes para determinar si usted es candidato para estos o no. En ocasiones un solo dentista puede realizar todo el tratamiento, frecuentemente dos o mas dentistas estarán envueltos en su tratamiento con Implantes Dentales.
Hágase las siguientes preguntas cuando este seleccionando a su dentista:
¿Cuál es su educación y entrenamiento en implantología?
- ¿Donde realizó su entrenamiento, cuánto tiempo se entrenó y
que institución reconoce su entrenamiento?- ¿Cuantos Implantes Dentales usted ha realizado?
- ¿Desde hace cuánto tiempo realiza usted este tipo de tratamientos?
El tratamiento con Implantes Dentales es complejo y requiere de conocimiento y entrenamiento especifico.
Los resultados que se puedan lograr son formidables y muy satisfactorios. Consulte a su dentista.
Dr.: MARCOS ROLANDO FORQUERA FLORES