Drenaje venoso del encefalo:
Introduccion:
El cerebro posee un sistema de venas cerebrales, las cuales se clasifican en un grupo superficial y otro profundo, y un sistema de senos venosos,  los de la base y los senos intermedios. Todos ellos van a drenar finalmente en la vena yugular interna que emerge de la base del cr�neo y desciende formando el paquete vasculonervioso cervical.

Venas Cerebrales:
El grupo superficial drena la corteza y la sustancia blanca subcortical, desembocando en los senos sagital superior o en los senos de la base.

El grupo profundo drena el plexo coroideo, las regiones periventriculares, el dienc�falo (talamo e hipotalamo), los n�cleos basales y la sustancia blanca profunda; desemboca principalmente en las venas cerebrales internas y en la Vena de Galeno o Cerebral Mayor
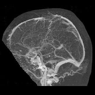
Venograma cerebral comparese con figura superior
Javier Urriola �2005
volver a inicio
Hosted by www.Geocities.ws

1