|
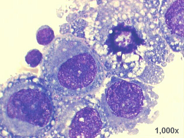
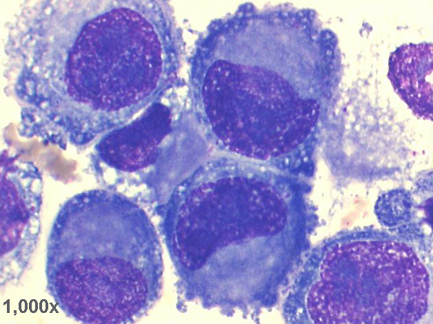
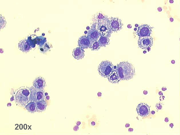
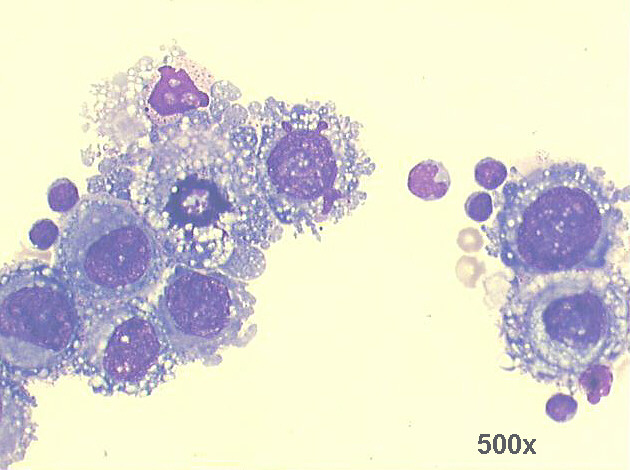
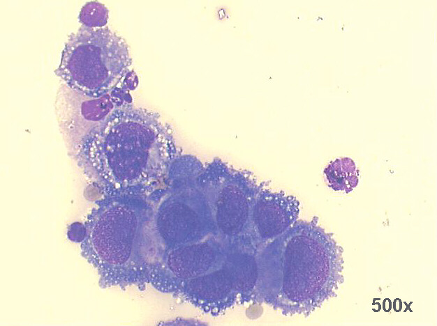
Ascites fluid, 65-year old female with gastric tumor: signet-ring carcinoma. |
The smears show abundant number of isolated, round cells, with abnormal looking morphology: highly atypical nuclei, some of them pushed to the periphery of the cell by mucin containg vacuoles, typical of signet-ring carcinoma. This was confirmed by gastric resection of the tumor.

| Case December 2008 | References | List of cases | Atlas |