Drs. Prolla and Diehl's Case of the month ~ December 2006

CNS fluid, 21-year old male, with history of a testicular tumor previously resected


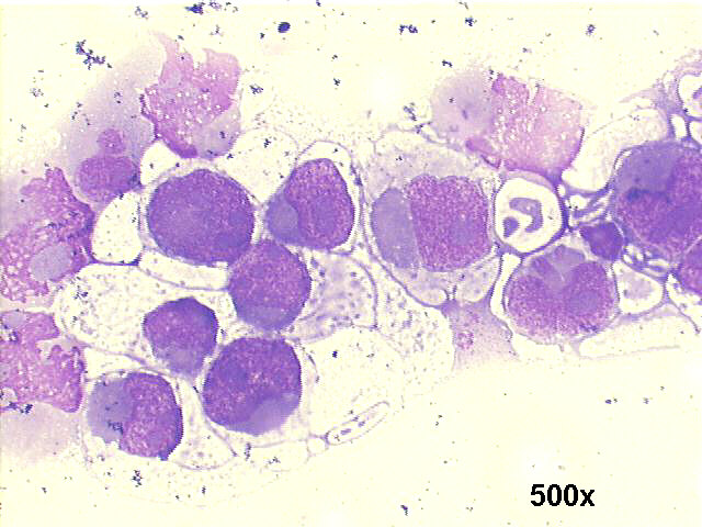
500x M-G-G staining

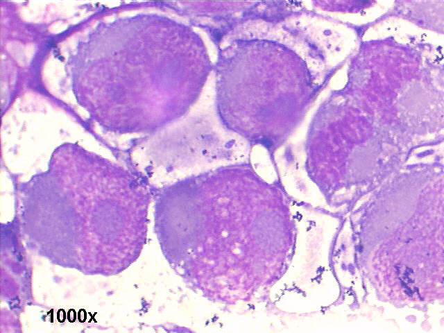
1000x M-G-G staining

500x M-G-G staining

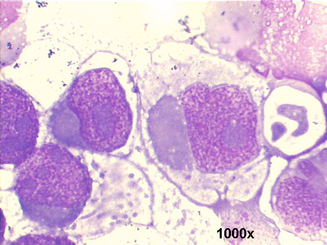
1000x M-G-G staining

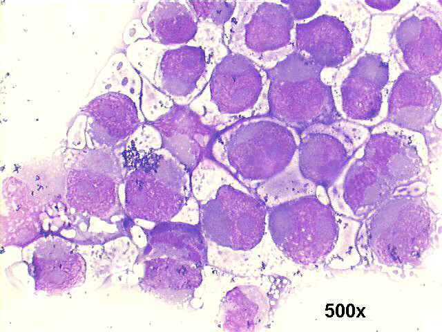
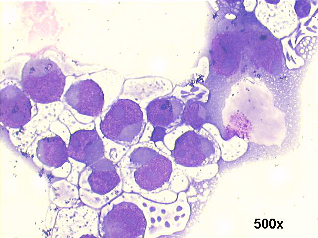
500x M-G-G staining

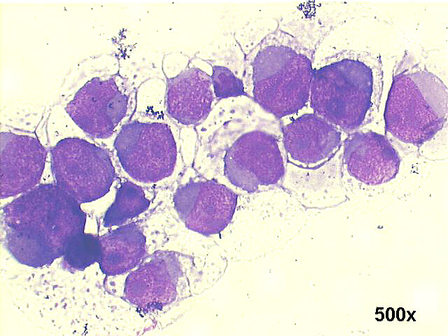
500x M-G-G staining

1000x M-G-G staining

500x Pap staining

1000x Pap staining



Case B December 2006

Case A of the month answer





Best seen on 1024x768x16M resolution -


Hosted by www.Geocities.ws

1