Drs. Prolla and Diehl's INTERESTING CASE OF THE MONTH December 2005
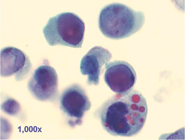
Urine, Cytospin preparation, 31-year old male, kidney transplant 4 weeks previously

Pap staining 200x

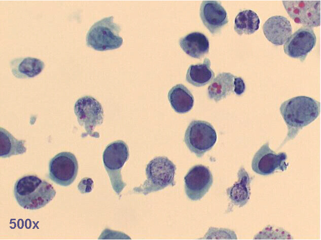
Pap staining 500x

Pap staining 500x

Pap staining 1,000x

Pap staining 1,000x

Pap staining 1,000x

Second urine sample:
Pap staining 1,000x

Pap staining 1,000x

Pap staining, high power view

Pap, high power view

Pap staining, high power view





Case of the month answer
Hospital de Clinicas de Porto Alegre - Listen to H.Bunji rendering of Mozart's Sonata in G K283




Best seen on 1024x768x16M resolution - After complete downloading of the pictures, and while you think listen to H.Bunji playing Mozart's Sonata in G K283, by clicking on the picture of the Hospital de Clinicas de Porto Alegre.


Hosted by www.Geocities.ws

1