Lymph node imprint: Strongyloides stercoralis larvae


Dr Prolla's INTERESTING CASE OF THE MONTH - November 2000

Photo 1 Lymph node histology H&E 200x

Photo 2 Lymph node histology H&E 200x
Photos 1 and 2: Lymph node histology, H&E staining (see above)

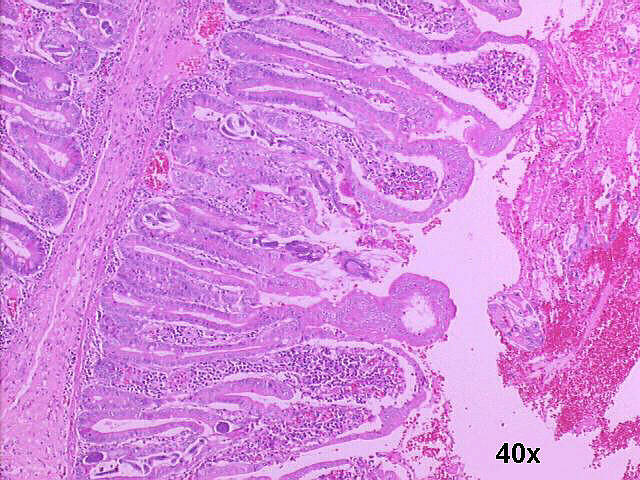
Photo 3 Small bowel resection specimen histology, H&E staining 40x

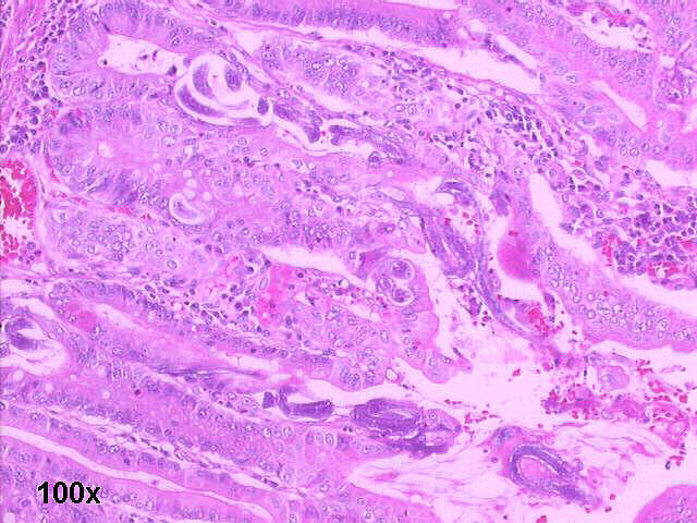
Photo 4 Small bowel resection specimen histology, H&E staining 100x
Photos 3 and 4: Small bowel resection specimen histology, H&E staining(see above)

The mesenteric node imprint showed several larval forms of Strongyloides stercoralis, a quite unusual finding, never reported before in cytological specimens. Photos 1 and 2 show the presence of many Strongyloides stercoralis larvae in the mesenteric node specimen histology. Photos 3 and 4 show massive small bowel infiltration by the same larvae. Hyperinfection syndrome by Strongyloides stercoralis had been reported in AIDS patients before, but the cytological findings are here reported by the first time.

Hospital de Clinicas de Porto Alegre, Cytopathology Laboratory
Porto Alegre, RS Brazil



References List of cases
Hosted by www.Geocities.ws

1