Dr. Prolla's INTERESTING CASE OF THE MONTH - October 2000

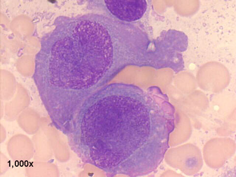
M-G-G staining 1,000x

M-G-G staining 1,000x

FNA of osteolytic lesion at third left rib of a 68-year old female, with anemia and weight loss for over one year. Palpable thyroid nodule at physical exam.

Case of the month answer  - Hospital de Clinicas de Porto Alegre - </a>
 
<p><br>
<br>
<br>
<p><center><b><font face=Best seen on 1024x768x16M resolution -


Hosted by www.Geocities.ws

1