Drs. Prolla and Diehl's INTERESTING CASE OF THE MONTH October 2004
FNA Pancoast tumor, 71-year old female.

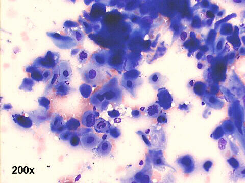
200x M-G-G  staining

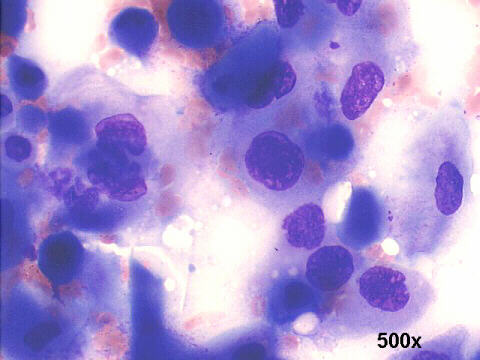
500x M-G-G staining

200x M-G-G  staining

500x M-G-G staining

200x M-G-G  staining

500x M-G-G staining

200x M-G-G  staining

500x M-G-G staining

200x M-G-G  staining

500x M-G-G staining





Case of the month answer

Santa Casa de Misericordia de Porto Alegre




- Best seen on 1024x768x16M resolution -


Hosted by www.Geocities.ws

1