Drs. Prolla and Diehl's Case of the month ~ September, 2008

FNA mass left breast, 37-year old female, lactation pharmacologically stopped one month before


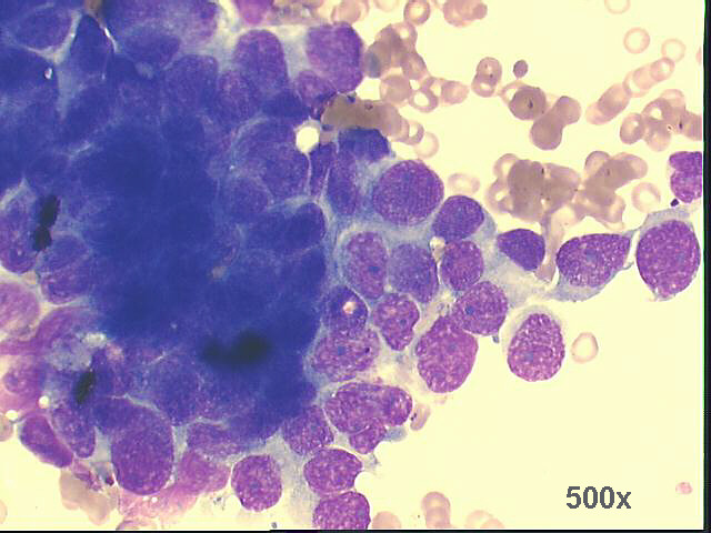
500x M-G-G staining

500x M-G-G staining

500x M-G-G staining

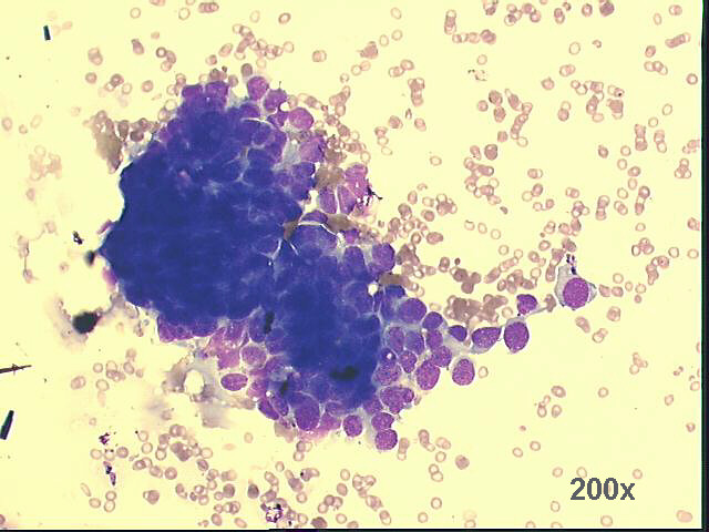
200x M-G-G staining

500x M-G-G staining

500x M-G-G staining

200x M-G-G staining

500x M-G-G staining

500x M-G-G staining

500x M-G-G staining

1,000x M-G-G staining

1,000x M-G-G staining

1,000x M-G-G staining



Case of the month answer





Best seen on 1024x768x16M resolution -


Hosted by www.Geocities.ws

1