Drs. Prolla and Diehl's INTERESTING CASE OF THE MONTH September 2005
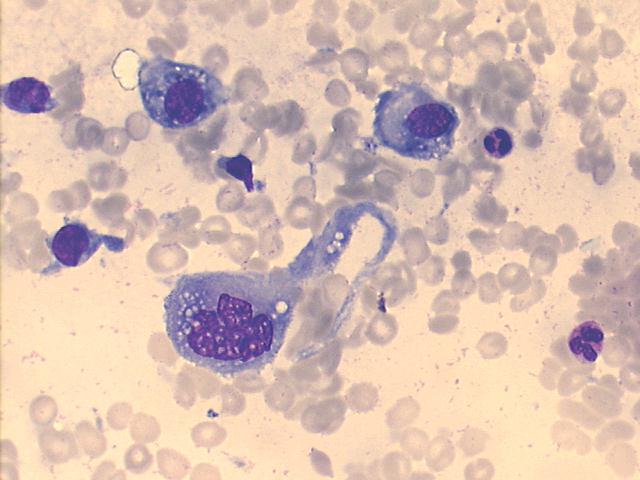
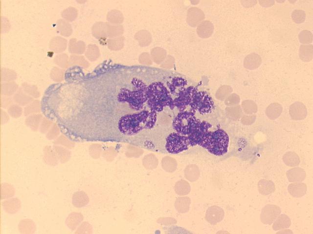
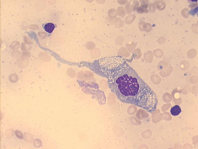
FNA lung mass cytopathology, 63-year old female
 

500x Giemsa staining

500x Giemsa staining

500x Giemsa staining

500x Giemsa staining

500x Giemsa staining





Case of the month answer

Santa Casa de Misericordia de Porto Alegre -




Best seen on 1024x768x16M resolution -


Hosted by www.Geocities.ws

1