Drs. Prolla and Diehl's INTERESTING CASE OF THE MONTH August 2002 Case B
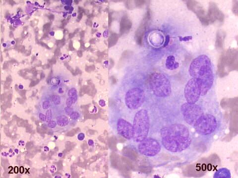
FNA of left sided thoracic mass of 67-year old nonsmoker female

200x and 500x M-G-G staining

500x M-G-G staining

500x M-G-G staining





Case A August 2002

Case of the month answer

Hospital de Clinicas de Porto Alegre - Listen to H.Bunji rendering of Mozart's Sonata in G K283


Best seen on 1024x768x16M resolution - After complete downloading of the pictures, and while you think listen to H.Bunji playing Mozart's Sonata in G K283, by clicking on the picture of the Hospital de Clinicas de Porto Alegre.
Hosted by www.Geocities.ws

1