Multiple myeloma - Pleural involvement


Dr Prolla's INTERESTING CASE OF THE MONTH - August 2000 Case B

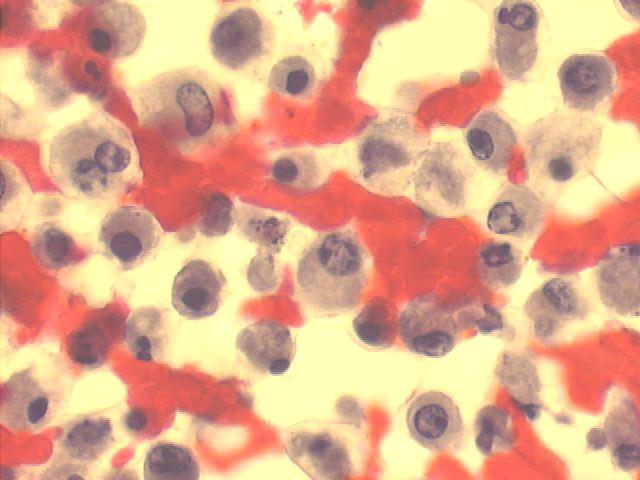
Papanicolaou staining 500x

Papanicolaou staining 500x

May-Grünwald-Giemsa staining

M-G-G staining 500x see apoptotic cells signaled by arrow heads

M-G-G staining 500x see apoptotic cell signaled by arrow heads

M-G-G staining 500x see apoptotic cells signaled by arrow heads

Presence of many plasma cells, plasmablasts, and intermediate atypical plasma cells with a basophilic cytoplasm with a pale paranuclear area, in the M-G-G stain. Nuclei with thick membrane, several chromatin clumps in their periphery, in the Papanicolaou stain. Many binucleated atypical plasma cells ( see insets). Presence of many cells in apoptosis, signaled by arrow heads. The cells were CD45-. Pleural biopsy demonstrated infiltration by the plasma cells. Bone marrow biopsy showed focal replacement by plasma cells and plasmablasts. Serum immune-electrophoresis revealed a monoclonal IgG type of peak, urine analysis demonstrated Bence-Jones protein.

Hospital Santa Casa de Misericordia de Porto Alegre, Cytopathology Laboratory
Porto Alegre, RS Brazil



References List of cases
Hosted by www.Geocities.ws

1