Dr. Prolla's INTERESTING CASE OF THE MONTH - August 2000 - Case B

Papanicolaou staining 500x

Papanicolaou staining 500x

May-Grünwald-Giemsa staining

May-Grünwald-Giemsa staining 500x May-Grünwald-Giemsa staining 500x

May-Grünwald-Giemsa staining 500x

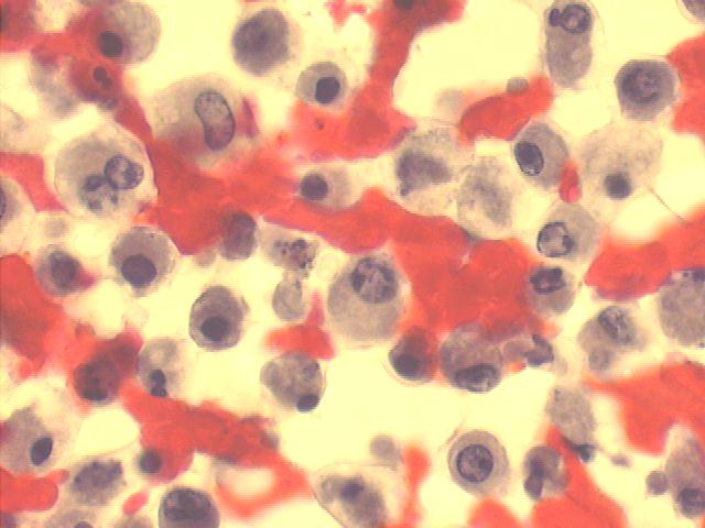
Pleural fluid sediment of 52-year old male with several osteolytic (punched-out) bone lesions (Papanicolaou and M-G-G staining)


Case of the month answer Hospital Santa Casa de Misericordia de Porto Alegre -


August 2000 Case A


Best seen on 1024x768x16M resolution -


Hosted by www.Geocities.ws

1