Drs. Prolla and Diehl's
Case of the month ~ August, 2008
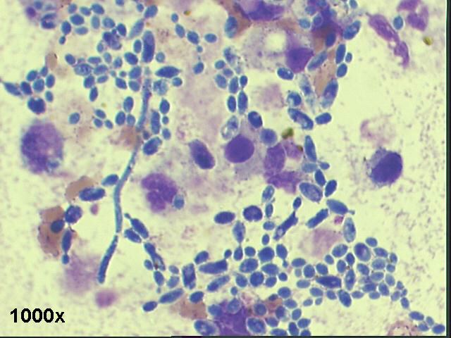
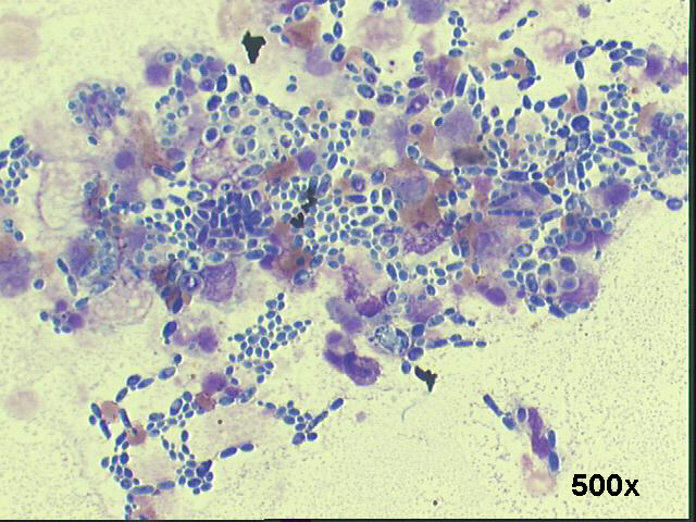
Ascites fluid, 29-year old male, with high grade abdominal lymphoma, and sepsis: Candida tropicalis peritonitis and sepsis






Repeated mycological studies of the ascites fluid (culture and identification tests) identified Candida tropicalis as the fungus causing the peritonitis. Peripheral blood studies also identified the same pathogen.
|