|
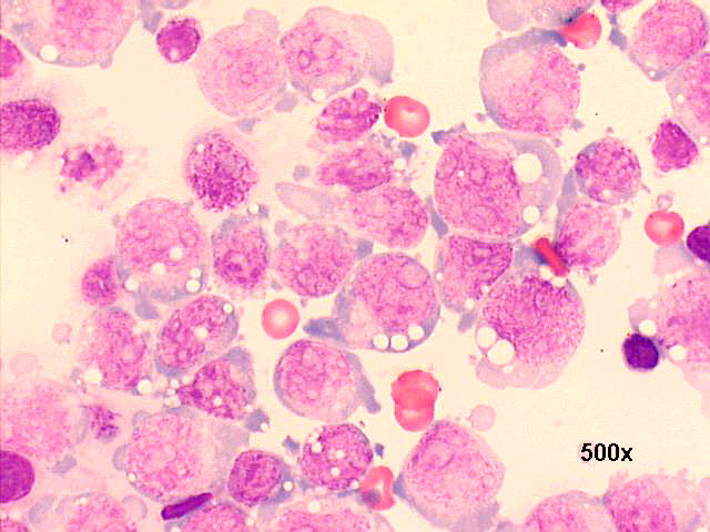
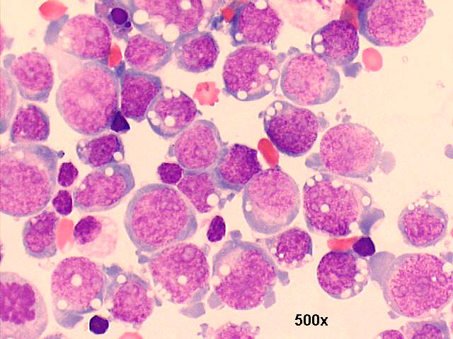
Presence of many small and medium sized noncleaved lymphoid cells, with a thin rim of basophilic cytoplasm with lipid vacuoles. Nucleus with smooth membrane, several small nucleoli, moderately coarse chromatin, some cells have also nuclear lipid vacuoles. The cells were CD10+, CD20+, and CD45+. CT scans did not reveal intrathoracic or abdominal masses. HIV serologic studies were negative. Pleural biopsy revealed typical morphology of Burkitt's lymphoma with "starry sky" appearance. Patient responded favorably to chemotherapy, but was lost to follow up after 8 months.
Hospital Santa Casa de Misericordia de Porto Alegre, Cytopathology Laboratory
|

| References | List of cases |