Drs. Prolla and Diehl's Case of the month ~ July, 2008

FNA left maxillary sinus, 40-year old male


500x Pap staining

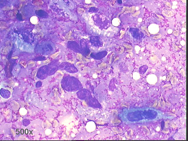
500x M-G-G staining

500x M-G-G staining

500x M-G-G staining

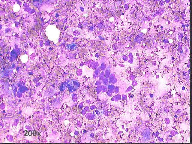
200x M-G-Gstaining

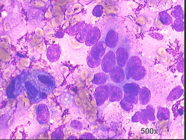
high power view of previous image 500x M-G-G staining



Case of the month answer





Best seen on 1024x768x16M resolution -


Hosted by www.Geocities.ws

1