Urine: Papillary Urothelial Neoplasm of Low Malignant Potential


Drs. Prolla and Diehl's INTERESTING CASE OF THE MONTH July 2001 answer

12,5x H&E staining

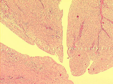
40x H&E staining

100x H&E staining

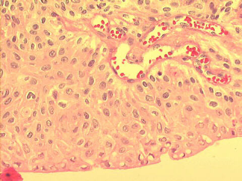
200x H&E staining

A Papillary Urothelial Neoplasm of Low malignant Potential was found and removed from the left kidney caliceal system.(H&E staining)




References List of cases
Hosted by www.Geocities.ws

1