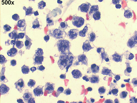
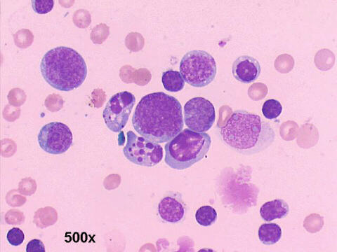
Ascites fluid, 59-year old male with ascites, abdominal pain, and weight loss
Drs. Prolla and Diehl's
INTERESTING CASE OF THE MONTH June 2004

Case
of the month answer
Best seen on 1024x768x16M resolution - After complete downloading of the pictures, and while you think listen to H.Bunji playing Mozart's Sonata in G K283, by clicking on the picture of the Santa Casa de Misericordia de Porto Alegre.