Dr. Prolla's INTERESTING CASE OF THE MONTH - June 2000

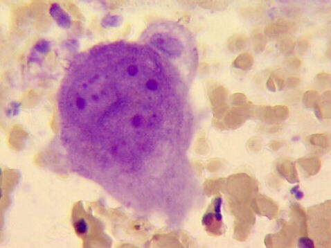
FNA of breast mass, 47-year old female

M-G-G staining 500x

FNA of breast mass, M-G-G staining 500x

FNA of breast mass, M-G-G staining 500x

FNA of breast mass, M-G-G staining 500x



Case of the month answer
Hospital de Clinicas de Porto Alegre




1

Hosted by www.Geocities.ws