Dr. Prolla interesting CASE OF THE MONTH - May 2000
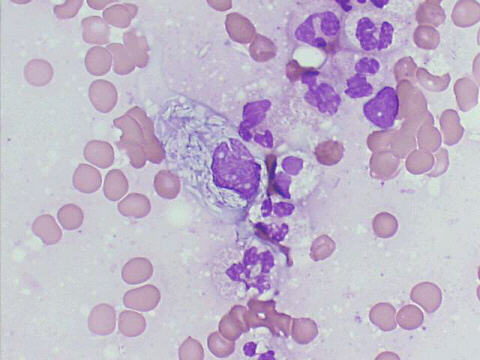
FNA of inguinal lymph node, 60-year old female, with generalized lymphadenopathy.

br>
M-G-G staining

M-G-G staining


Case of the month answer

Hospital de Clinicas de Porto Alegre





Best seen on 1024x768x16M resolution.


Hosted by www.Geocities.ws

1