Drs. Prolla and Diehl's INTERESTING CASE OF THE MONTH May 2009
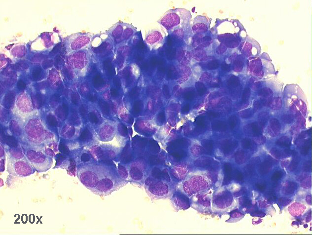
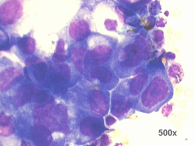
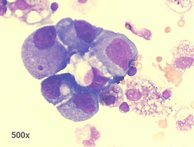
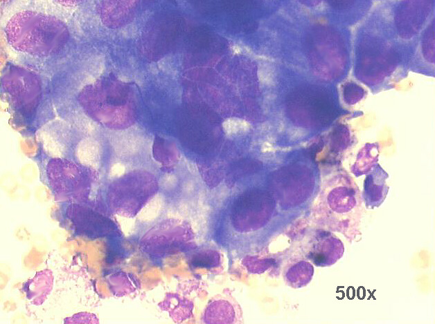
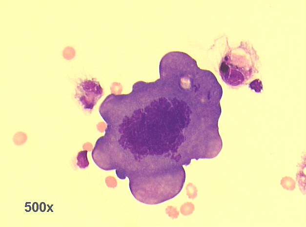
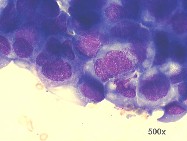
Pleural effusion, 66-year old female, 6-mos post-op of thyroid neoplasm.

200x M-G-G staining

500x M-G-G staining

500x M-G-G staining

500x M-G-G staining

500x M-G-G staining

500x M-G-G staining

200x M-G-G staining

500x M-G-G staining

500x Pap staining






Case of the month answer

Santa Casa de Misericordia de Porto Alegre



Best seen on 1024x768x16M resolution -


Hosted by www.Geocities.ws

1