|




>
 center>
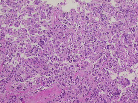
FNA cytology: many disperse "dyscohesive" malignant cells were seen, specially in the M-G-G stained smears, a quite specific pattern for malignancy. Its prognostic significance is controverse. Core biopsy revealed invasive ductal carcinoma. At surgery, confirmation of the diagnosis, and several axillary lymph nodes positive for metastases.

|