|
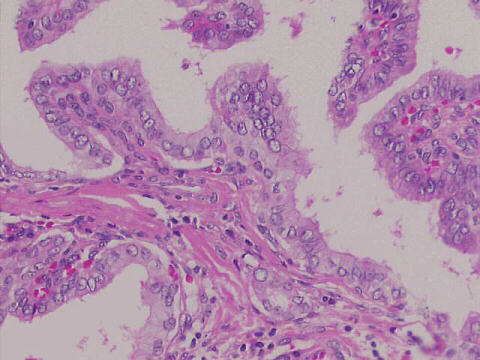
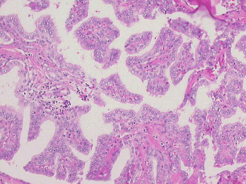
Cytology features: several papillary fronds, cytoplasmic intranuclear inclusions ( not very prominent in this case), tissue fragments, monolayered sheets, nuclear grooves, slight nuclear pleomorphism, and almost absent colloid. Histology revealed papillary carcinoma of the thyroid, classic form (H&E staining) |
