Drs. Prolla and Diehl's Case of the month ~ April 2007

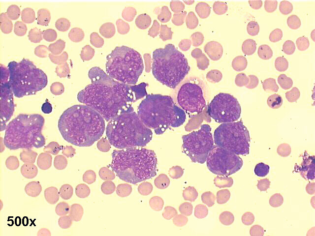
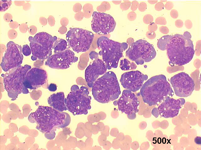
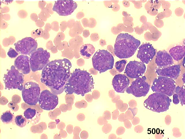
Pleural fluid, 70-year old male, with mediastinal mass and pleural effusion


500x M-G-G staining

500x M-G-G staining

1000x M-G-G staining

500x M-G-G staining

1000x Pap staining

500x Pap staining

500x Pap staining

1000x Pap staining

500x Pap staining

1000x Pap staining



Case of the month answer





Best seen on 1024x768x16M resolution -


Hosted by www.Geocities.ws

1