Drs. Prolla and Diehl's April 2006

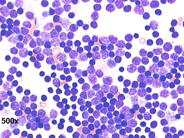
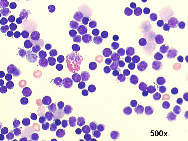
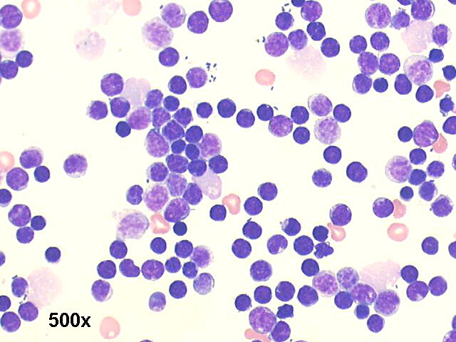
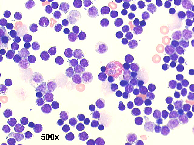
Submucosal cystic lesion, ascending colon, 72-year old female, transendoscopic aspiration


200x Papanicolaou staining

500x Papanicolaou staining

500x M-G-G staining

500x M-G-G staining



Case of the month answer





Best seen on 1024x768x16M resolution -


Hosted by www.Geocities.ws

1