Drs. Prolla and Diehl's INTERESTING CASE OF THE MONTH April 2001
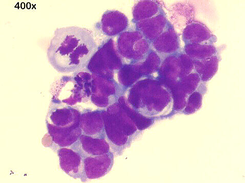
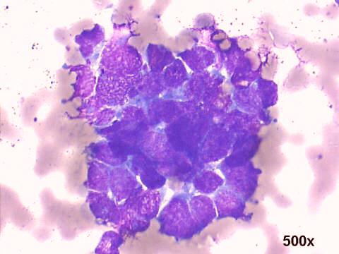
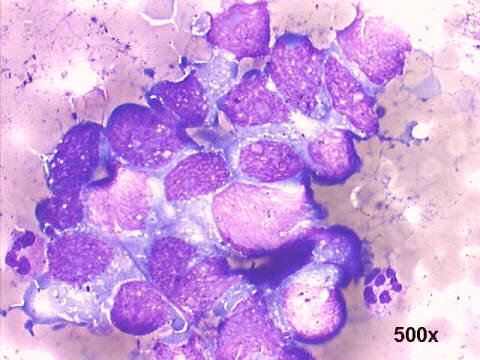
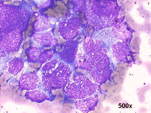
Lumbar spinal fluid, cytocentrifuge cytology of 03-year old male with cerebellar ataxia, and some degree of papilledema.

400x M-G-G staining

500x Papanicolaou staining

500x M-G-G staining - 2nd tap

500x M-G-G staining

500x M-G-G staining 2nd tap


Case of the month answer

Hospital de Clinicas de Porto Alegre -





Best seen on 1024x768x16M resolution -


Hosted by www.Geocities.ws

1