Drs. Prolla and Diehl's INTERESTING CASE OF THE MONTH Febuary 2009
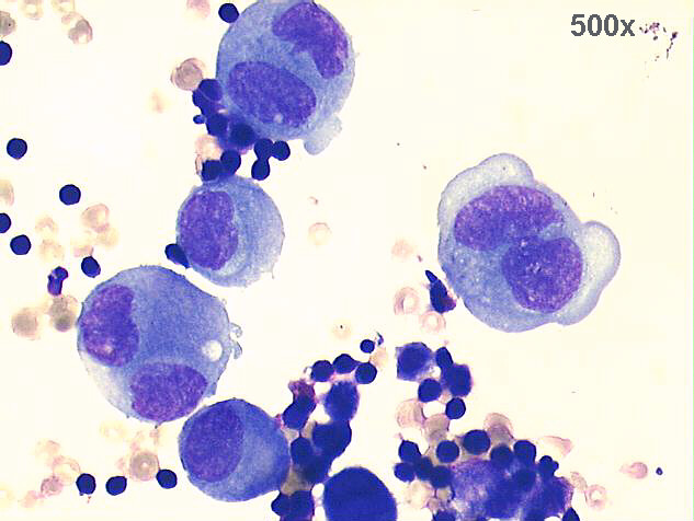
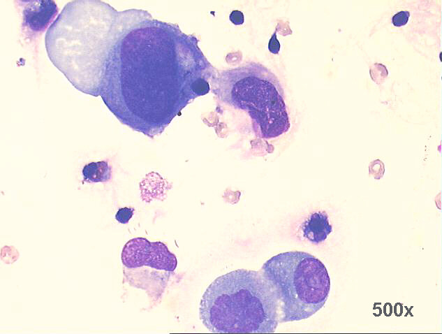
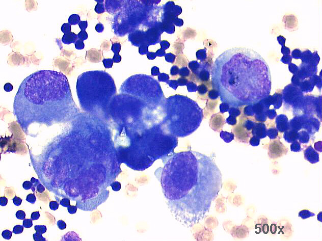
Pericardial fluid, 52-year old female.

500x M-G-G staining

500x M-G-G staining

500x M-G-G staining

500x M-G-G staining

500x M-G-G staining






Case of the month answer

Santa Casa de Misericordia de Porto Alegre



Best seen on 1024x768x16M resolution -


Hosted by www.Geocities.ws

1