Drs. Prolla and Diehl's INTERESTING CASE OF THE MONTH February 2008 case A
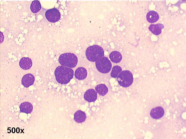
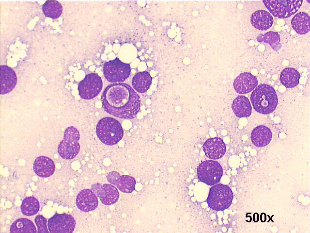
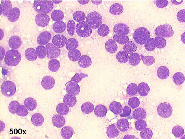
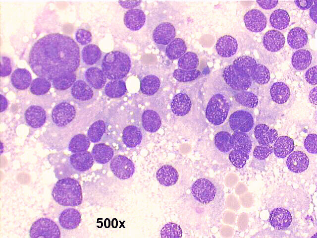
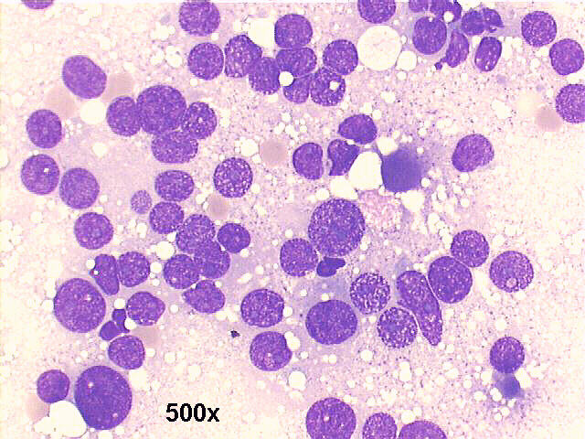
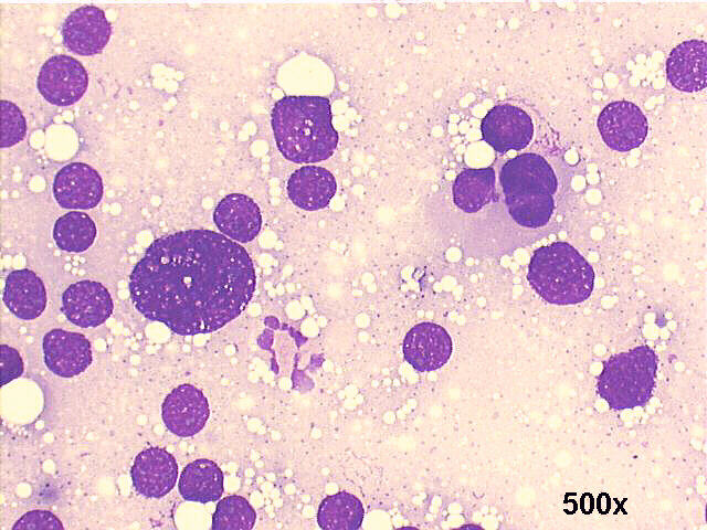
FNA left adrenal of 24-year old female with Cushing“ syndrome

M-G-G staining, 500x

M-G-G staining, 500x

M-G-G staining, 500x

M-G-G staining, 500x

M-G-G staining, 500x

M-G-G staining, 500x





Case A of the month answer



Hosted by www.Geocities.ws

1