Drs. Prolla and Diehl's INTERESTING CASE OF THE MONTH January 2003 case B
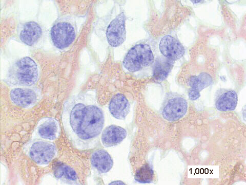
Bloody Pleural fluid of 33-year old female with acute myeloid leukemia

Papanicolaou staining, 1,000x

Papanicolaou staining, 1,000x

Papanicolaou staining, 1,000x

Papanicolaou staining, 1,000x





See also Case A January

Case B of the month answer Hospital de Clinicas de Porto Alegre - Listen to H.Bunji rendering of Mozart's Sonata in G K283




Best seen on 1024x768x16M resolution - After complete downloading of the pictures, and while you think listen to H.Bunji playing Mozart's Sonata in G K283, by clicking on the picture of the Hospital de Clinicas de Porto Alegre.


Hosted by www.Geocities.ws

1