Drs. Prolla and Diehl's INTERESTING CASE OF THE MONTH January 2007
Voided urine of 62-year old female: papillary urothelial carcinoma grade II/III of urinary bladder

papillary urothelial carcinoma grade II/III , 200x Papanicolaou staining, fragment of papillary structure

papillary urothelial carcinoma grade II/III , 500x Papanicolaou staining, high power view of above image

papillary urothelial carcinoma grade II/III , 200x Papanicolaou staining, another fragment of papillary structure

papillary urothelial carcinoma grade II/III , 500x Papanicolaou staining, high power view of above image

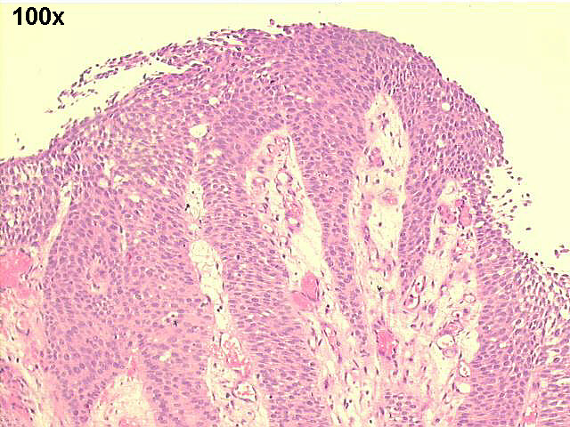
100x H&E staining, showing papillary urothelial carcinoma grade II~III

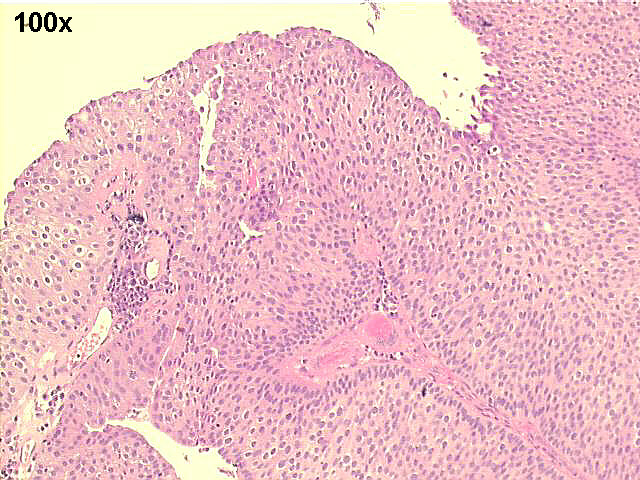
100x H&E staining, showing papillary urothelial carcinoma grade II~III

The cytological smears showed many fragments of papillary structures, with moderate cellular atypias, suggesting urothelial papillary carcinoma. Cystoscopic biopsy confirmed this diagnosis. The surgical specimen revealed a papillary urothelial carcinoma grade II~III (high grade urothelial carcinoma ISUP), with some areas of necrosis, stage T2 (penetration of muscularis).



Back to Case January 2007 References
List of cases
Atlas
Hosted by www.Geocities.ws

1