..
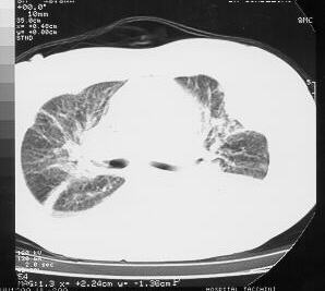
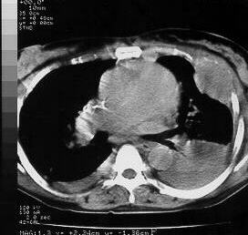
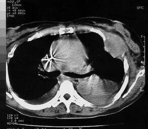
Chest CTs demonstrating the left thoracic wall mass, with intra-thoracic involvement, and costal arch destruction.

Hosted by www.Geocities.ws

1