Education Icon

Embolus Pulmonar

Valerie L de Pupilo, MD
Benjam�n B Faitelson, MD

Octubre 25, 1996


Para aumentar el tama�o de las im�genes haga click sobre ellas o sobre el texto de color azul (flechas). Para volver al caso cl�nico haga click en la flecha o bot�n "atr�s" de Explorer o Netscape


La Presentaci�n

Un 80-year-old el hombre present� con la falta de aire y condici�n mental cambia 14 d�as despu�s de quir�rgicos resection de un glioblastoma multiforme.

Representar Hallazgos

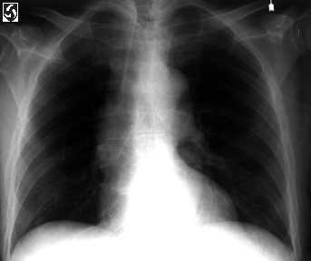
Derecho radiograph del pecho
La ventilaci�n - perfusio repasa de los pulmones
Pulmonar angiograms
Selectivo derecho pulmonar angiogram

Un anteroposterior el pecho derecho radiograph demuestra pulmones claros sin la evidencia de una parenchymal o pleural anormalidad.

La ventilaci�n - perfusio (V/Q) repasa espect�culo ning�n perfusion de los apical y segmentos posteriores del l�bulo superior derecho ( flechas). M�ltiple peque�o - para moderar - clasificadas fragmentario perfusion fallas son visibles en el remanente del pulm�n derecho y en el pulm�n izquierdo. La ventilaci�n en ambos pulmones es normal.

Pulmonar angiography da a conocer una oclusi�n y terminaci�n brusca ( flecha) de la sucursal subir de la arteria pulmonar derecho, el truncus anterior. El relleno de de fallas ( la flecha) est�n presente dentro de las arterias que abastecen los basal segmentos del l�bulo m�s inferior derecho.

El Diagn�stico Diferencial

El V/Q importante desigualdad, la arteria de l�bulo superior ocluido derecho, y las intraluminal las fallas de relleno son diagn�sticas de pulmonares emboli. La oclusi�n de las arterias pulmonares puede verse en otros desordenes incluyendo un arteritis involucrando el pulmonar vasculature, tal como Takayas�s arteritis. La compresi�n extr�nseca de las embarcaciones pulmonares por carcinomas primarias de pulm�n, metastatic las lesiones al pulm�n, y ampliada hilar los n�dulos de linfa pueden resultar en tambi�n oclusi�n brusca de una embarcaci�n pulmonar.

El Diagn�stico

Pulmonar embolus

La Discusi�n

En la mayor�a de los pacientes, pecho radiograph los hallazgos en pulmonares embolus (PE) son nonspecific o parejos unremarkable. El pecho radiograph puede mostrar una pleural efusi�n, atelectasis, and/or consolidaci�n pulmonar. Menos hallazgos comunes son la hipertensi�n pulmonar, congestive el fallo de coraz�n, Westermark's firma (ampliaci�n de las embarcaciones centrales con fragmentarias o lobulares oligemia), y Hampton's encorva (una cu�a - la formada opacidad que linda la pleura debido a pulmonar infarction). El pecho de este paciente radiograph era normal.

Una vascular ultrasound se desempe�ar com�nmente porque la fuente m�s com�n de PE es la vena profunda thrombosis de la extremidad m�s inferior. Las otras fuentes incluyen iliac vena thrombosis, inferior vena cava thrombosis, y extremidad superiora thrombosis. Los factores de riesgo para la formaci�n de profundo thrombosis incluyen inmovilizaci�n prolongada, cirug�a reciente (como en este postoperative paciente), pre�ez, obesidad, trauma, uso anticonceptivo oral, y previo agudo thrombosis. El diagn�stico preciso de vena profunda thrombosis es importante porque 50% de untreated popliteal que vena (y m�s cephalad las venas) la enfermedad resulte en PE. Menos que 10% de untreated la vena de ternero thrombi resulta en embolia. En este paciente, unas ultrasound de las extremidades m�s inferiores estuvo sin la evidencia de thrombus. La extremidad m�s inferior ultrasound es negativa en 30% de pacientes con un PE probado, tan un normal ultrasound no descarta este diagn�stico.

Este paciente la pr�xima prueba diagn�stica era una ventilaci�n - perfusio (V/Q) repasa. V/Q de exploraci�n es desempe�ada por administrar 3.0 mCi de technetium-99m-macro albumin ( Tc99m-MAA) por v�a intravenosa. El Tc99m-MAA ocluye un porcentaje peque�o de precapillary pulmonar arterioles y capilar. Perfusion de im�genes se obtienen sobre una c�mara de gamma en proyecciones m�ltiples. Consecutivamente, 20 mCi de xen�n - 133 de gas es inhalado por el paciente. Los im�genes de ventilaci�n se obtienen en la proyecci�n espec�fica que demuestra las m�s perfusion las anormalidades. El diagn�stico de PE es hecho por identificar un - " V/Q de desigualdad. " - Que es, un pulm�n segmenta o subsegment que no es perfused pero se ventila. La ausencia de perfusion se debe a una occlusive thromboembolus dentro de la embarcaci�n abasteci� que segmento particular de pulm�n.

El PIOPED de criterios se usan para clasificar el probablity de PE con base en V/Q repasados los hallazgos. Una probabilidad alta de PE (\>80%) corresponde a dos o m�s fallas fragmentarias desigualadas grandes. Una probabilidad intermedia de PE (20-80%) se define como una falla fragmentaria moderada o uno grande y una falla fragmentaria moderada, o un V/Q de modelo de anormalidad que es dif�cil caracterizar. Una probabilidad bajo de PE (En esto recientemente postoperative paciente, pulmonar angiography se desempe�� para confirmar el diagn�stico de PE. <20%) is defined as a small subsegmental defect, nonsegmental defects, matched defects, or any defect with a substantially larger chest radiograph abnormality. A normal V/Q scan is without a perfusion or ventilation defect. This patient's V/Q scan had two large segmental defects in the right upper lobe and other segmental defects in both lungs, hence this scan indicated a high probability of PE.

La ingle derecho de paciente estuvo dispuesto y tapiz� usando t�cnica est�ril. El Seldinger de t�cnica se us� a percutaneously punzada la derecho com�n femoral la vena con un 18 indicador separa - tapiada de aguja. Un 7 Franc�s pigtail catheter se puso en el inferior vena cava sobre un J-guide el est�ndard cable. El cable se quit�. Un yodo alto (350 mg/ml) nonionic contrasta de medio se infundi� en el catheter y un inferior venacavagram mostrado que el cava estuvo sin thrombus. El catheter se dirigi� mediante el atrio derecho, ventr�culo derecho, extensi�n pulmonar de efusi�n, y arteria pulmonar principal. Las grabaciones de presi�n dadas a conocer una levemente elev� la presi�n principal de arteria pulmonar (37/15 mmHg, significa de 17 mmHg). La presi�n normal de arteria pulmonar era 20-25/8-12 con una significada presi�n de 15. Desde este paciente V/Q repasa mostr� pulm�n predominantemente derecho perfusion fallas, la substracci�n digital selectiva angiography del pulm�n derecho se desempe��. Los derecho pulmonar arteriogram los im�genes mostraron cesaci�n brusco del truncus anterior por occlusive thrombus. Hab�a tambi�n intraluminal fallas de relleno dentro de basilar arterias l�bulo a la derecha m�s inferior. Estos hallazgos proveyeron diagn�stico definitivo de PE.

Los pacientes con PE incurren un riesgo alto de mortalidad con la obstrucci�n de mayor de 50% del lecho arterial pulmonar. La tal obstrucci�n es seguida por un alza r�pido en la resistencia vascular pulmonar y la presi�n arterial, que resulta en tensi�n ventricular derecho aguda. La tensi�n ventricular derecho conduce a cor pulmonale y fallo de coraz�n entonces izquierdo. Sist�mico hypotension resulta y muerte ocurre. Por lo tanto, un filtro se puso en el infrarenal inferior vena cava de este paciente para impedir adicional embolization de las venas profundas de las extremidades m�s inferiores al pulmonares vasculature.

Pocos pacientes presentan con los s�ntomas cl�sicos de PE: dyspnea, pleuritic el pecho duele y hemoptysis. Electrocardiogram cambia y el arterial medidas de gas de sangre son frecuentemente nondiagnostic. Por lo tanto, ventilation/perfusio el estudios y angiography son las normas para el diagn�stico de PE.

Referencia

1. Brandt NOSOTROS, Timones CA. fundamental de radiolog�a diagn�stica. Baltimore: Williams Wilkins, 1994.

2. El Tintorero R. El manual de vascular y interventional radiolog�a. Nuevo York: Churchill Livingstone, 1993.

3. Johnsrude IS, Jackson DE CC, Dunnick NO. Un enfoque pr�ctico a angiography. La Boston: Poco, Marr�n, 1987.

4. Thrall JH, Ziessman HA. La medicina nuclear: los requisitos. St Louis: Mosby - el A�o Reserva, 1995.


�Es esta una p�gina reflejada ?
El funcionario homepage del BrighamRAD que Ense�a la base de datos de Caso es http://brighamrad.ha

Contact the BrighamRAD Design Team for additional information about this site.

VOLVER P�GINA INICIAL


Hosted by www.Geocities.ws

1