6- Teixit nerviós


Aquest teixit està format per cèl·lules altament especialitzades. Forma el sistema nerviós que coordina tots els organs i aparells que formen l'organisme. La funció del sistema nerviós és , també , la de rebre i donar resposta escaient als estímuls procedents de l'exterior o de l'interior del propi organisme.

Les seues cèl·lules estan caracterizades per la seua excitabilitat (reaccionen front als canvis ambientals externs i interns , tot creant un corrent electro-químic anoment impuls nerviós) i la seua conductibilitat (transmiteixen aquest impuls per tot el cos). Són cèl·lules d'origen ectodèrmic. Podem distingir tres tipus de cèl·lules nervioses: neurones , cèl·lules de neuròglia i cèl·lules de micròglia.


6.1 Neurones


La neurona és la unitat estructural i funcional del sistema nerviós. Són cèl·lules que s'han especialitzat en la transmissió de l'impuls nerviós. És tan gran la seua diferenciació que ja no poden dividir-se : Això vol dir que posseïm un nombre determinat de neurones quan naixem; posteriorment creixen però no es creen de noves
Les neurones estan constituïdes per:


* Soma o cos cel·lular que inclou el nucli i bona part del citoplasma. Té una forma irregular. A més dels orgànuls comuns presenta unes fibril·les especials - neurofibril·les - que recorren tot el citoplasma i continuen per les prolongacions.


* Prolongacions (llarguíssimes , arriben fins a cm) de dues classes:


** Dendrites Són prolongacions nombroses , relativament curtes i ramificades. Són les zones on es capten els estímuls que es transmeteixen cap al soma cel·lular. Funcionen com a receptors sensorials especialitzats o bé fent contacte amb els àxons d'altres neurones
** L'àxon o neurita. Cada neurona té un únic àxon , prolongació cilíndrica molt llarga i només ramificada al seu extrem , on acaba en uns menuts botons terminals en contacte amb altres cèl·lules nervioses o amb els òrgans efectors (músculs o glàndules). L'àxon és la via d'eixida de la informació tramesa per la neurona.

 

fes clic per ampliar


Les prolongacions d'una neurona estan en contacte amb les de les neurones veïnes. Aquestes zones de contacte reben el nom de sinapsis. La transmissió de l'impuls nerviós està polaritzada , de manera que sempre es realitza en un determinat sentit , des de la dendrita fins el soma i des d'aquí fins l'àxon



Tipus de neurones


Podem classificar les neurones segons dos criteris diferents:

* Segons els seu nombre de prolongacions es classifiquen en :


- Monopolars. L'única prolongació és l'àxon
- Bipolars. una dendrita i un àxon
- Multipolars . un àxon i moltes dendrites

 

*Segons la seua funció tindrem:


- Sensitives: Són les neurones que en rebre l'estímul generen l'impuls nerviós i el transmiteixen cap el sistema nerviós central (medul·la espinal i encèfal)
- Motores Condueixen l'impuls nerviós des del S.N.C. fins als òrgans efectors (músculs i glàndules)
- D'associació. Són les més nombroses. connecten unes neurones amb altres.


Ganglis , centres i fibres nervioses


Els ganglis i els centres nerviosos estan formats pels cossos neuronals. Els ganglis són associacions de cossos neuronals que no es troben en l'encèfal o la medul·la espinal.(centres neviosos). Les fibres nervioses estan constituïdes per les prolongacions neuronals i el seu conjunt rep el nom de nervis.

En distingim dos tipus:


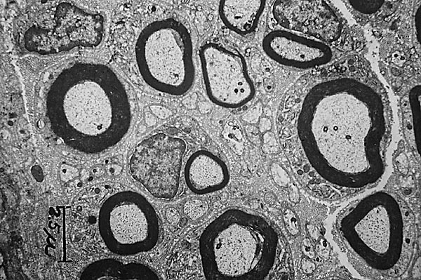
+ Fibres blanques o mielíniques; L'àxon s'hi troba envoltat d'una beina de mielina (naturalesa lipìdica) formada a partir de cèl·lules de Schwann (fora del S.N.C.) o oligodendròcits (dintre del S.N.C.). El significat d'aquesta capa és la d'aïllant.El recobriment no és contínu de forma que entre beina i beina hi ha una zona d'àxon nua anomenada nòdul de Ranvier. La transmissió nerviosa és més ràpida en aquest tipus de fibres.


+ Fibres grises o amielíniques: L'àxon es troba nu.

Cèl·lules glials


Es troben localitzades entre les neurones i en podem distingir:


6.2. Neuroglia
Està formada per una sèrie de cèl·lules d'aspecte estrellat , disperses pel sistema nerviós i amb funció de sosteniment i nutrició de les neurones.


* Astròcits Reben aquest nom per la gran quantitat de ramificacions. Tenen una funció estructural , com a soport d'unió entre les neurones; reparadora: tenen capacitat de dividir-se: si una neurona mor , aquestes ompliran l'espai buit; de nutrició de les neurones , mitjançant l'emissió d'unes prolongacions que arriben fins els capil·lars sanguinis per prendre'n productes nutritius.


* Els oligodendròcits tenen menys prolongacions i participen en la fornació de la beina de mielina que envolta els àxons

 

oligodendròcits envoltant l'àxon i formant beines de mielina


6.3 Microglia
Formada per una sèrie de cèl·lules molt xicotetes amb capacitat fagocitària. Posseixen una funció defensiva front a l'entrada de qualsevol substància estranya i de neteja dels productes de desintegració del sistema nerviós.


Naturalesa i transmissió de l'impuls nerviós


L'impuls nerviós és un fenomen electroquímic: Normalment la membrana de la neurona està polaritzada (l'interior es troba carregat elèctricament respecte a l'exterior) Aquesta diferència de potencial , de -70 mV , i que rep el nom de potencial de membrana , és originada per una distribució asimètrica dels ions als dos costats dela membrana (permeabilitat selectiva) i mantinguda mitjançant mecanismes de transport actiu.
En arribar un estímul es produeix un canvi en la permeabilitat de la membrana i aquesta es despolaritza (potencial d'acció = +50 mV.) Posteriorment (escala de mil·lisegons) la membrana es repolaritza.
Al mateix temps es crea una ona de despolarització , és a dir , el potencial d'acció s'estén ràpidament d'una zona a una altra de la membrana , de la mateixa forma que crema la metxa d'un coet . Aquestes ones elèctriques que han estat originades com a conseqüència dels canvis iònics en les membranes neuronals constitueixen l'impuls nerviós que pot atènyer velocitats de fins 100 m / s.

Animació sobre la natura de l'impuls nerviós


Què passa quan l'impuls nerviós arriba al final de l'àxon? El pas de l'impuls nerviós d'una neurona a una altra o des d'una neurona a un múscul o glàndula es realitza a través de les sinapsis. El concepte de sinapsi té dues accepcions: La primera és estructural i es refereix a la forma d'unió entre dos neurones , mentre que la segona és funcional i tracta del mode en què passa l'impuls nerviós d'una neurona a una altra.

ANIMACIÓ


Les neurones no estan connectades directament entre elles. Hi ha una separació mínima anomenada sinapsi entre l'extrem de l'àxon (element presinàptic) i d'una dendrita de la neurona següent (element postsinàptic). El senyal elèctric que arriba a l'element presinaptic , provoca l 'alliberament d'unes substàncies anomenades neurotransmisors o missatgers químics que travessen la ranura sinàptica on s'uniran a un receptor específic de la membrana de l'element postsinàptic que provocarà un canvi elèctric en la membrana. Per tant la transmissió de l'impuls nerviós d'una neurona a una altra implica la transformació d'un impuls elèctric en senyal química que posteriorment és transformada en altre senyal elèctric.

El següent enllaç -en anglès- presenta unes animacions formidables que ens poden ajudar a entendre els processos de geeració i transmissió de l'impuls nerviós i de la sinapsi

 

 


 

Pàgina feta per


 

TORNAR A LA PÀGINA PRINCIPAL DE BIOLOGIA HUMANA
Hosted by www.Geocities.ws

1